等待下一个雨季,疟原虫如何在人体内“苟延残喘”?
神译局是36氪旗下编译团队,关注科技、商业、职场、生活等领域,重点介绍国外的新技术、新观点、新风向。
编者按:在只有旱季雨季之分的热带,疟疾是最为常见的疾病之一,这种通过蚊虫叮咬传播的疾病如过街老鼠,臭名昭著。而最令科学家疑惑的问题之一,莫过于疟疾是如何悄无声息地潜伏下来、度过旱季之后又在雨季卷土重来的。一项新研究揭开了这个问题神秘面纱的一角。文章作者Donald G. McNeil Jr.,原文标题A Malaria Mystery, Partly Solved: What Happens When the Rains End?
疟疾每年导致大约40万人死亡,它主要由蚊子传播,在多雨的月份更是肆虐。图片来源:Athit Perawongmetha / 路透社
每年约有40万人死于疟疾,其中大多数是非洲的儿童和孕妇。科学家们早就知道,大多数发烧和死亡发生在雨季,因为气候适宜所以蚊子大量繁殖,传播疾病。但是,当旱季来临,几乎没有人生病、也没有多少蚊子把微小的疟原虫从一个宿主带到另一个宿主的时候,这种疾病是如何持续存在的呢?
这个谜题长期困扰着科学家们。但是,来自德国和马里的研究人员在《自然医学》(Nature Medicine)杂志上发表的一项新研究至少提供了部分答案:疟原虫会产生一种基因变化,使其能够在感染者的血液中隐藏数月而不被发现。
研究人员开始定期抽取Kalifabougou镇近600名儿童和年轻人的血液,Kalifabougou镇位于马里的农村,有明显的雨季和旱季。血液测试显示,即使样本中的疟原虫数量太少,在显微镜下无法看到,约20%的研究参与者的一些红细胞中疟原虫的含量仍然非常低。
在一些被感染的红细胞中,疟原虫会产生粘性蛋白质,这些蛋白质会上升到细胞表面。这些细胞粘附在静脉和动脉壁上,而不是被下游的脾脏摧毁。新的研究发现,疟原虫的这种活动随季节而变化。
柏林马克斯·普朗克感染生物学研究所(Max Planck Institute for Infection Biology)的疟疾专家、该研究的主要作者Silvia Portugal说,脾脏就像一个筛子,只有年轻、灵活的红细胞才能从狭窄的缝隙中挤出来。
僵硬、老化的细胞,以及充满大量疟原虫的细胞,通常被脾脏捕获,被巡逻的大白细胞——巨噬细胞——消化。
在非洲大部分地区,雨季的到来往往伴随着致命的危险。当疟原虫数量大增时,红细胞就会分泌出粘稠的蛋白质,这些细胞就会堵塞大脑中的微小毛细血管,其中,“脑型疟疾”通常是致命的。
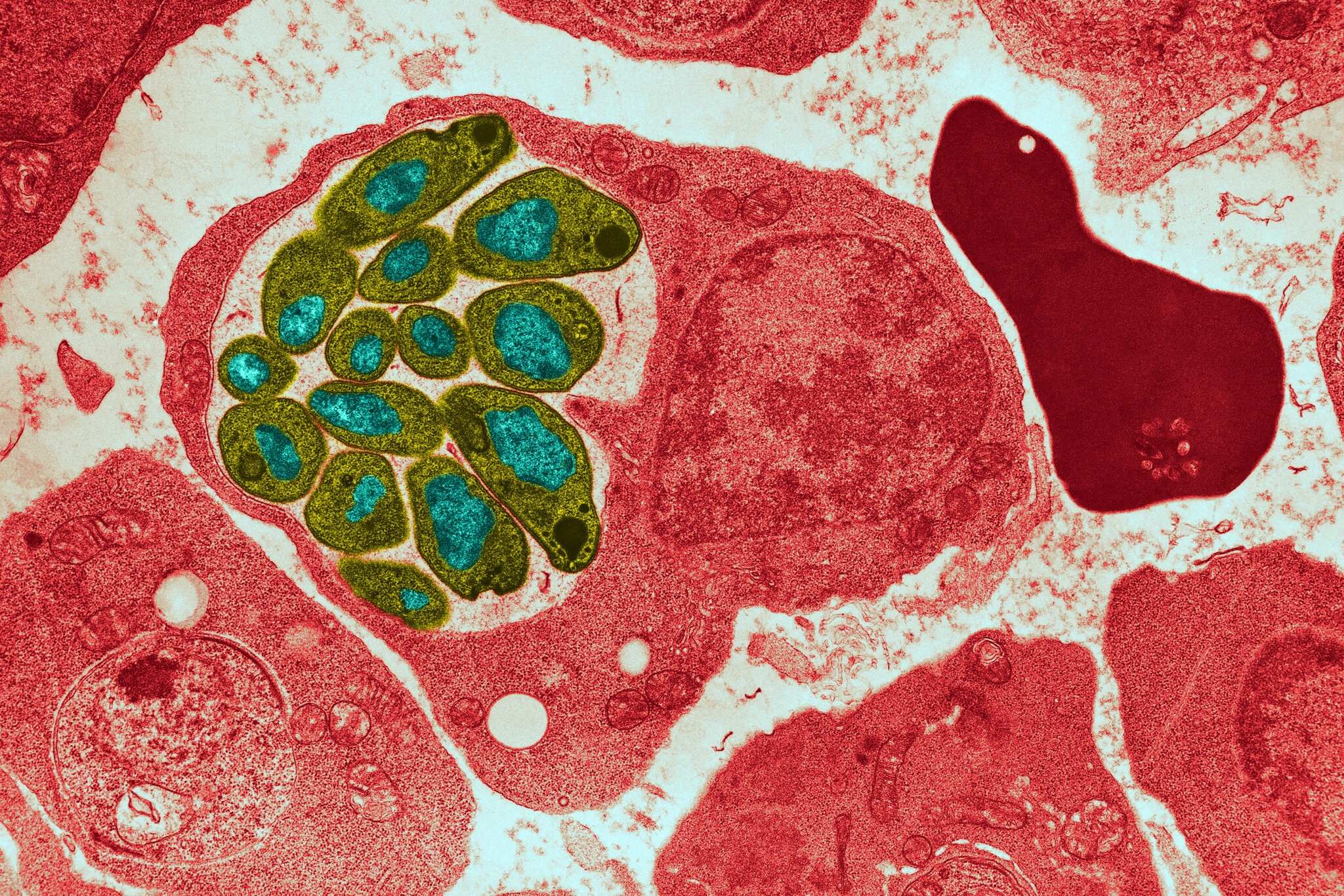
彩色透射电子显微镜下观察到的疟疾感染红细胞。图片来源:Omikron / 《Science Source》杂志
每一种疟原虫的基因中都有一长串的蛋白质,它们可以选择性地排序。它可以产生多达60种迁移到细胞表面的蛋白质变种。正常情况下,疟原虫每隔几天就会转移到一种新的蛋白质,以逃避宿主免疫反应产生的抗体。
但研究人员发现,在旱季,大多数红血球中的疟原虫都会停止制造这种蛋白质的“粘性版本”。他们溜进了脾脏,自取灭亡。但还有少数存活了下来,它们似乎减缓了新陈代谢,就像显微镜下的熊冬眠过冬一样。
它们通过下面这两种机制来保护自己。
首先,通过测量免疫系统产生的炎症蛋白,Portugal发现隐遁的疟原虫不知何故变得过于“安静”,无法触发可能摧毁它们的免疫反击。
第二,剩下的粘性细胞太少,无法堵塞大脑毛细血管,所以即使是受感染的儿童也能存活下来。
Portugal说:“在旱季杀死宿主的疟原虫进入了死胡同。”
哈佛大学陈曾氏公共卫生学院(T.H. Chan School of Public Health)的分子生物学家、著名疟疾专家Sarah K. Volkman称这项新研究“很重要”。Volkman在塞内加尔的研究发现,疟原虫谱系在村庄中持续存在了10年。她指出,这一研究非常重要,可以揭示在疟原虫最脆弱的时候消灭它们的方法。
马里兰大学(University of Maryland)医学院的疟疾专家Miriam K. Laufer博士也称赞了这项研究,说它“提供了我们认为的情况的具体数据,比如旱季感染不会引起很大的免疫反应。”
牛津大学(University of Oxford)和泰国玛希多尔大学(Mahidol University)疟疾研究中心的主任Nicholas J. White博士则更为保守。他指出,越南的研究人员此前已经证明,疟原虫可以在干旱的月份里存活。
他认为,疟原虫可能只是每隔几个周期“换一件衣服”,以避免被免疫系统识别,附着在墙上的细胞数量减少可能是由于宿主抗体反应的变化,而不是疟原虫自身的变化。
但是他承认,他无法解释Portugal的观察结果,即感染的红细胞在旱季更容易被脾脏破坏。
所有的专家都认为,这一领域的研究需要继续深入下去。
这一发现引出了一个有趣的问题:是什么引发了这种转变?人体深处的疟原虫是怎么知道“知道”旱季何时开始,它们的生命何时会变得危险的?或者它们是怎么知道雨季开始了,它们的好日子又回来了的?
有一种理论认为,某些东西诱发了疟原虫体内的压力。Laufer说,当疟原虫处于压力之下时,它们的反应是转化为配子细胞,这是整个生命周期的一部分,使它们被蚊子摄取并携带到新的宿主。这是一个冒险的举动:它们无法变回原来的样子,如果不把它们带走,它们就会死去。
众所周知,抗疟疾药物会引起这种压力,并引发配子细胞的变化。但是Laufer推测,新的疟原虫也可能会随着雨季的到来而涌入,由蚊子带来,并与隐居的疟原虫竞争多汁的红细胞。
另一种可能性是,蚊子唾液中的某些蛋白质——或者人类对蚊子唾液过敏反应中的组织胺——提醒疟原虫从藏身之处走出来。
一些研究表明,蚊子更喜欢叮咬已经患有疟疾的人。疟原虫可能以某种方式使这些人闻起来“更美味”。众所周知,狗可以被训练来辨认疟疾患者,甚至可以通过嗅受感染儿童穿的袜子来辨别他们是否患有疟疾。
专家们说,蚊子本身就是疟原虫的警钟,这种想法也不是没有道理,因为疟原虫在生存方面表现完美地诠释了进化论里所说的“适者生存”。
尽管目前还没有证据,Portugal表示:“我们还不太清楚,但我希望能更好地理解这一切。”
Volkman表示,宿主和疟原虫之间顽强的相互依赖,让她想起了W.H. Auden的诗《新年问候》(A New Year Greeting)。在诗中,诗人欢迎掠食性的细菌进入他的皮肤,但警告它们,当他洗澡时,它们可能会被大洪水烫死,他们最终的命运将以他的命运结束而结束。
译者:喜汤















