碰到鸽子粪会得要命的脑膜炎?我需要担心吗?
说到鸽子,你想到什么?和平、信使、安宁、平和,以及,致命的危险!
这倒不是说鸽子本身很要命,而是鸽子粪,对一些人来说真的有可能要命。
图丨giphy
离奇的病患
几年前,在美国一所戒备森严的监狱里,一名55岁的男性囚犯生病了:他每天反复地恶心、呕吐、头痛,除此之外倒没有其他症状,监狱医生也没看出个所以然来。
鉴于情况不太紧急,监狱工作人员在观察了他3个月后,确定这人不是在装病,于是将他带到了医院,让大医院的医生瞧瞧到底是什么毛病。
很快,医生就在这名患者的肺、脑脊液、血液里,找到了致病的真菌:新型隐球菌(Cryptococcus neoformans)。
新型隐球菌丨wikimedia commons/CDC
元凶找到了,但一个问题困扰着医生们:监狱密不透风、管理严格,卫生条件也挺好,他到底是怎么感染上这种真菌的?
在医院、患者、监狱的三方排查下,终于弄明白了。
原来啊,监狱中有一块用铁丝网封闭起来的放风区域,只要天气不错,囚犯们就可以在这块区域里晒晒太阳、呼吸下新鲜的空气。
但囚犯们放风的时候,盯着他们的不止有狱警,还有铁丝围栏上的鸽子。鸽子不但盯梢,还会拉屎,而鸽子粪便,就是自然环境中最常见的新型隐球菌来源。
医生们判断,这名患者在放风的时候,不巧吸入了鸽子粪便中新型隐球菌的孢子,从而引起了感染。好在新型隐球菌不会人传人,所以感染没有铺开来。
故事的结局嘛,这名患者在对症用药6个星期后完全好了,“开开心心”回去继续坐牢了。
要命的鸽子粪
上面的这位老哥,只是恶心呕吐头痛,但有的人可能就没有那么幸运了。
鸽子粪里的新型隐球菌,通常通过呼吸进入人体,造成3种常见的糟糕后果。
直接的后果,就是肺部感染。
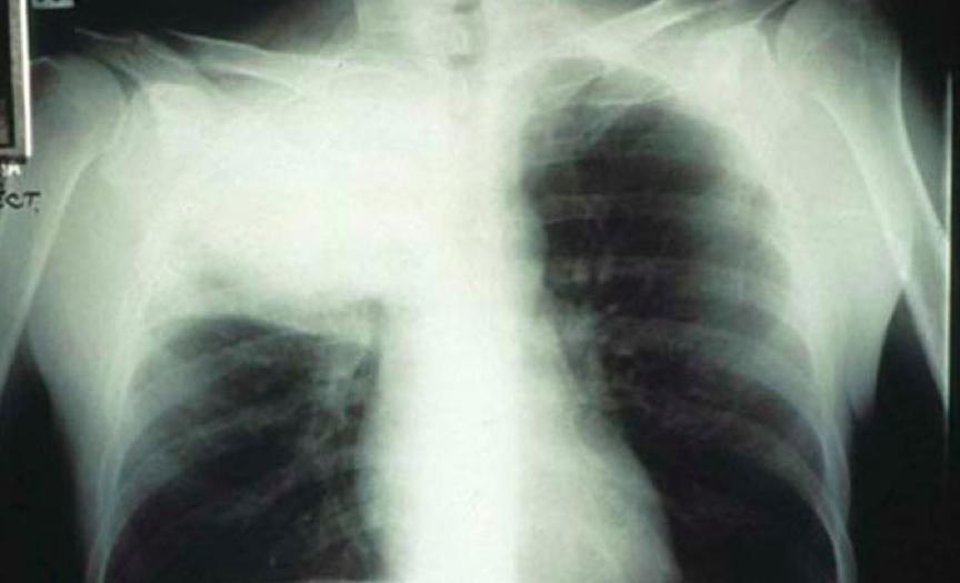
对有免疫缺陷的人来说,新型隐球菌肺炎年发病率高达6%到10%[5][6]。这些人里,症状稍轻的人会开始咳嗽,而严重的情况下,则会发烧、缺氧、呼吸急促,好在一般不会要命。
被新型隐球菌感染的肺部X光片丨doctorfungus.org
因接触鸽子导致肺部感染的新闻丨网页截图
真菌也会游荡到皮肤,造成皮肤感染。这时候的患者皮肤,会长出丘疹、脓包,出现溃疡。
受到新型隐球菌感染的皮肤丨doctorfungus.org
最严重的后果,就是脑膜炎。
由呼吸道进入人体的新型隐球菌,对中枢神经有很强的亲和性,它们在一路辗转后进入颅内,就会引发致命性的隐球菌性脑膜炎。
据估计,全球每年有约15万人患上隐球菌性脑膜炎,导致了近11万人死亡[3],而侥幸活下来的人,往往也需要面对各种后遗症。
因接触鸽子粪便导致脑膜炎的新闻报道丨网页截图
新闻报道,一名女子因鸽子粪感染隐球菌性脑膜炎后失明丨网页截图
我需要担心吗?
如果你不是艾滋病、淋巴瘤患者,没有因为器官移植正在使用免疫抑制剂,也没有长期使用糖皮质激素,总之一句话,只要有正常的免疫力——
那么这里我就放出话了:不用!
新型隐球菌是一种真菌,而相较于细菌和病毒而言,真菌真的很难在健康人体内扎根的!
就比如新型隐球菌肺炎,有免疫缺陷的人年患病率有10%左右,那对正常人来说呢?也不是没有,但只有百万分之五左右[5][6]。至于致死率很高的隐球菌性脑膜炎,健康人患上的概率就更小了。
你要说再小的几率也有发生的可能,那我这里给你算笔账,你再看看要不要防:
首先鸽子实在多。
鸽子作为一个物种,和人类一样,属于“无危”级别;而且几乎有人的地方就有鸽子,有鸽子的地方就有鸽子粪,且我国的鸽子粪里,超过一半都能检测到这种真菌[7]。
其次,除了鸽子以外,还有至少4种鸟类和隐球菌沾亲带故[4],它们是白面鸭、鹰鸮、孔雀、猫头鹰,大部分也是常见的鸟类。
最后,千万年来承接了无数鸟粪的土壤中,也广泛存在着隐球菌。
你就说怎么防?
对于绝大多数人来说,在鸽子密布的区域,要防范的危险,其实应该是这样的——
图丨giphy
参考文献
[1] Barvo M, James N, Ayyaz M. Disseminated Cryptococcus in an immunocompetent patient due to prison yard pigeon exposure. ID Cases. 2021 Sep 9;26:e01285.
[2] 肺隐球菌病诊治浙江省专家共识,浙江省医学会呼吸病学分会中华临床感染病杂志, 2017,10(5) : 321-326. DOI: 10.3760/cma.j.issn.1674-2397.2017.05.001
[3] Rajasingham R, Govender NP, Jordan A, Loyse A, Shroufi A, Denning DW, et al. The global burden of HIV-associated cryptococcal infection in adults in 2020: a modelling analysis. Lancet Infect Dis 2022 Aug 29.
[4] Irokanulo EO, Makinde AA, Akuesgi CO, Ekwonu M. Cryptococcus neoformans var neoformans isolated from droppings of captive birds in Nigeria. J Wildl Dis. 1997 Apr;33(2):343-5.
[5] 赵蓓蕾,施毅,桑红. 现代肺部真菌病学. 北京:人民军医出版社,2004.
[6] 徐作军.肺隐球菌感染的诊断和治疗 中华结核和呼吸杂志,2006,29:295-296
[7]https://www.chinanews.com.cn/jk/ysbb/news/2008/09-03/1369573.shtml
本文来自微信公众号“果壳”(ID:Guokr42),作者:李萌,36氪经授权发布。















