戴上VR办公是什么样的感觉?(三)
神译局是36氪旗下编译团队,关注科技、商业、职场、生活等领域,重点介绍国外的新技术、新观点、新风向。
编者按:标准的白领工作就是坐在局促的小隔间,面对着一个或两个电脑屏幕点鼠标敲键盘。有没有可能在任何你想要的美景,比如黄山上,九寨沟旁工作,你的显示器有iMax影院那么大,可以同时打开十多个代码窗口,一目十行,同时还能一边跟同事的即时沟通,看自己的会议日程、各种 API 参考,以及展示“现实”世界的摄像头呢?一位VR的极客爱好者证明了这种可能性,而且就是用时下的VR设备。我们来看看他的体验。文章来自编译。篇幅关系,我们分三部分刊出,此为第三部分。
划重点:
VR办公相对成本不高,专注度高、灵活性好、可及性强
目前的生产力工具还没有针对VR进行优化
未来VR会变得更小、更轻、更快、更无处不在
“虚拟”的概念是一种公共的神经假肢
VR的意义在于促进更快、更有效的交流
好吧,可是,为什么呢?
为什么要这么折腾?除了对极客才有意义的新奇和狂热以外,这东西还有什么意义?
技术的优势在于它是力量倍增器:用相同或更少的付出(或成本)做更多的事情,或者做否则就不可能做到的新活动或工作形式。为了让新策略发挥作用并被采用,他们需要进行一定的平衡。对于某些用户来说,能让别人刮目相看就足够了——但还有其他几个可衡量的优势(下面所列是我识别出来的;你的看法可能会有所不同)。
成本:即便用了更高规格的头显和配件,但整个支出其实跟传统多显示器的配置也差不多。
专注:VR环境完全是无干扰的,所带来的生产力提高,如果按照总产出、工作质量或任务持续时间来衡量的话,要比基线高出 20%到100%不等。区隔是另一个重要部分——远程办公的人都知道拥有物理上独立的工作空间的重要性,要有一个边界来防止工作职责过于渗透到个人生活当中。把空间限制在元宇宙一个看不见的地方可以很好地进行分区——完全脱离只需要摘下头显或退出应用即可。
灵活性:VR的适应性范围提供了在其他情况下不实用或不可能的选项。屏幕可以根据人体工程学(重新)定位来适应各种姿势和空间,让狭窄的宿舍就像大办公室一样宽敞舒适。从酒店进入我的工作场所意味着在旅途当中也不会牺牲绩效(现在的情况不太适用,但将来肯定会再次出现)。
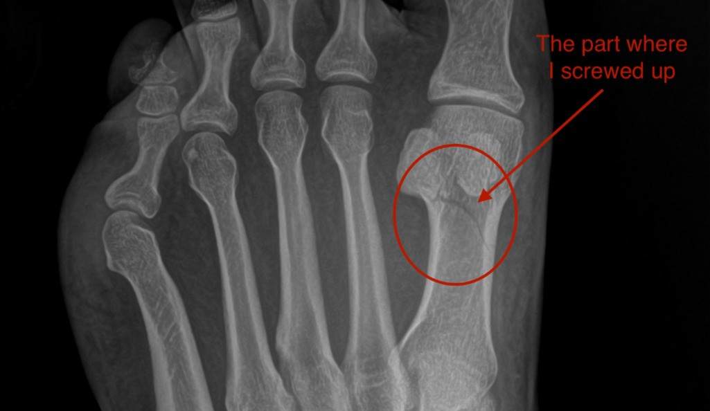
可及性:这种配置的可视化特性对视力正常的人有利,但尽管有排他性,但VR可以根据需要把东西做大,或者管理对比度和光线,为有视觉缺陷的人提供计算机可用性方面的改进。你也可以采用非传统的座椅或书桌(或床)配置,去适应各种行动不便或身体有困难的人。我在开始全天候VR工作的几个月后,遭遇了脚部多处骨折,需要四个月不得承重,而且前两个月需要把脚抬高。这种情况下已经不适合坐在办公桌前,有那么好几个星期,客厅的躺椅变成我唯一的选择。在那些日子里,笔记本电脑、头显以及多显示器设置就足以让我可以应付自如。
左脚第一跖骨骨折的X光片
VR 的可及性仍在开发中,最终包括的功能集更广泛:颜色与其他视觉适应、运动衰减或放大以应对运动与神经肌肉挑战、导航和记忆辅助(顺便说一下,采用AR的话,可同时适用虚拟和物理环境)、神经多样性管理工具等。调节感官体验与身体控制调节的机会如此全面,有望带来一系列超越目前最先进技术的包容性。而且这种包容性不仅仅是生物学和神经学方面的适应:一旦用VR来做,很多社会经济障碍也会减少或消失(尽管电力、带宽和头显对于这个世界的很多或大部分地区的人来说都是重大投资;在此之前还有很多工作要铺垫。)
为什么不?
尽管有各种好处,但我们也要提出一些警告,VR也许不太适合某些人或情况。
在视野被遮挡的情况下(显然)人已经失去了态势感知能力,而且如果你同时还使用头显的话,隔离的认知茧房就可能出问题甚至有风险——只有在安全可靠的环境下VR才有意义。然后是长时间佩戴硬件对身体的要求:进入到光学的“甜点”,建立适当的平衡和重量分布(还有建立肌肉组织),保持温度,清洁和保养设备等。
如果对当前的这批生产力工具的评价是古怪或另类的话,会低估它们的笨拙和繁琐程度。为了让工具能用我忍受了很多:不稳定,越过层层关卡好让一切按计划配置,搜索晦涩的工具或调整,小心呵护我精心组装起来的纸牌屋这些我都忍了,所以没有什么可以将它打倒。 这个领域的发展瞬息万变,到处都是 alpha 和 beta 产品,每一个产品在引入新的约定时都需要不断的适应——光是熟悉 VR 是不够的,整个链条里面的每个产品都需要学习怎么去处理这个概念。
哪怕遵循标准惯例、稳定、一流的产品出现,也不是每个人都需要这么大的屏幕空间,或者有合适的材料来充分利用,或者能有那种对外界视而不见的奢侈。反过来,对于某些人来说这可能还不够好——不管是分辨率、带宽、功能、硬件质量、物理形状因素等都做得不够。或者可能基于原则或政治理由反对,比方说Oculus 硬件就因为跟FaceBook的关系而被殃及。
我从目前的技术里面已经看到了足够的希望,试用是值得的。榨干工具的全部能力所投入的耐心最后在我的日常工作中收到了成效,我很高兴能够继续使用现在所拥有的一切。但憧憬未来的样子更让人感到兴奋。以上的大部分,不管是好是坏,其实都无关紧要,因为未来的发展会以截然不同的方式去解决不同的问题。
未来
成功的消费技术往往会趋向于更小、更轻、更快、更无处不在——VR 也不例外,而且我们有充分的理由相信这种趋势会持续下去。新的突破、功能以及形态因子会出现,并且跟我们所依赖的其他技术一样跟日常生活无缝集成。我们会生活在一个幻觉与现实交织的世界里,模拟与实体会不同程度地融合在一起。
现实的成分会增加(也许是超现实主义),我们感知模拟物体和环境以及与之交互的能力将无法通过感官来区分。随着系统对行动做出解释并将其投射到世界里,在模拟环境下的行动将会产生现实结果——远程呈现将出现巨大飞跃,时间与距离的限制会被消除。我们将超越今天的无人机驾驶、远程手术等,可在任何地方通过千里眼去看,通过远程手去干。
现在离未来显然还有一段距离,那种“成功”的先决条件要对这个假设做很多繁重工作。我之前已经谈了很多关于设置和体验的细节,但要看得那么远将需要转向抽象层面。这些工具会被使用所塑造——我们会用来做什么?有个办法可以很好地回答这个问题。那就是看看这些工具我们一直都是用来做什么的,看看我们能不能找出为什么要这么用;如果我们能够理解意图的话,也许就能预测目的地。
回到“虚拟”的定义,这一概念演进的驱动力是一种公共的神经假肢——其实这只是一种虚构的“共享大脑”的说法。人类一直在通过相互分发记忆、为了解决问题将各自想法(处理能力)结合以及本质上把文明本身众包来增强记忆。这一路上,通过同样这些渠道我们又添加了娱乐价值,但核心原则仍旧是:把认知的各个方面外化,然后跟我们的邻居交流。我们共享的东西的价值、政治和经济在这里我就不想探讨了,但共享本身是关键。
发明出更好的办法,将工作知识从一个人或一个群体传递给另一个人或群体,这可以提高这些群体的弹性与能力——动机、集中注意力等也类似。用更合适的技巧和技术来丰富这种传播,作为回报,自然会得到更快、更有效的交流:提高保真度,降低进入门槛,有助于更容易地从我们的集体大脑里面取出东西来。
“提高保真度”的意义不仅仅是逼真:让事情看起来更“真实”自然有它的作用,但对于分享想法来说并不是一切。为此,我们需要跟自然思维过程保持一致:用自己思考的方式进行交流,这样做翻译的时候就不会偏离那么多。事实证明,人类最好的思考方式之一就是通过空间。
记忆宫殿,或轨迹法,可能是有史以来最有效的助记手段。琳恩·凯利(Lynne Kelly)博士认为,在文字出现之前的文化,就是通过将类似的方法跟物理的、仪式性的环境相结合来保留自身百科全书式的知识的:利用和塑造周围环境来帮助整个记忆过程。但这已经远远超出了深刻记忆与部落传说——我们今天在个人空间里面做这件事很容易,一般是作为改进或委派执行功能的一种手段:我们把东西放在适当的地方作为采取行动的提示,我们把相关的任务和材料积攒起来慢慢做准备,去规划未来的活动等等。我们利用周围的环境去思考:
把记忆存储和工作转交给这样一种外部设备极大地提高了信息的存储容量与复杂性,同时还能有效地引导个人行为朝着目标前进。跟只使用大脑内部机制表示信息相比,这些目标可以大幅跨越时空而存在。
——《执行功能》(Executive Functions: What They Are, How They Work, and Why They Evolved),Barkley, Russell,2020年
通过提供无限的可塑性空间,并为我们在里面采取的行动赋予更多意义和能力,VR 及其最终的衣钵继承者让我们能够用上更加复杂的“卸载记忆存储和工作”的手段。个中的意义十分丰富而有力:手语从业者,已经在通过物理位置,从属于某些词的词形表达等来说明关系、时间、距离、幅度等方面的微妙差别。空间本身通过索引来呈现意义,从而变成了一种空间代词。
我们的大脑会跟我们所塑造的世界交织在一起,利用心理剧等的经验把潜意识意义跟外化的对象和元素绑定在一起。我们将审视自己的头脑,有意识地塑造自己。
把所有这些与我们的物理环境交织在一起,从而实现真正共享的体验,其结果就是一种合作认知:共同思考。
如果这就是我们前进的方向的话,那么现在的绿地、蓝海机遇就是以人为本的信息理论研究——利用神经科学,将空间导航与认知相结合,以此作为建设起点,塑造地形,引导语言、工具和系统的建立,将这一愿景变为现实。
就像我之前所说那样,对于未来我并不固执——但我确实喜欢利用技术来促进相互理解、把大家团结起来,去发挥众人的创造力。
译者:boxi。















