日本用AI预测阿尔茨海默症准确率超8成
日本富士胶片公司开发出一种技术,能以最高85%的准确率预测出从轻度认知障碍(MCI)发展为阿尔茨海默症的患者。
编者按:本文来自微信公众号“日经中文网”(ID:rijingzhongwenwang),作者:日经中文网,36氪经授权发布。
日本富士胶片公司开发出一种技术,能以最高85%的准确率预测出从轻度认知障碍(MCI)发展为阿尔茨海默症的患者。可通过人工智能(AI)分析轻度认知障碍患者的脑部图像和基因信息等,预测2年后的病情。这项技术最早2024年投入使用。用于帮助诊断疾病的AI将能够预测病情的发展,或将有助于预防疾病。
轻度认知障碍(痴呆症的早期阶段)患者中,部分人会发展为阿尔茨海默症,也有很多人的病情会保持原状或改善。轻度认知障碍的治疗药物开发接连失败,原因是没有发展为痴呆症的患者很难参加临床试验并证明药物的有效性。
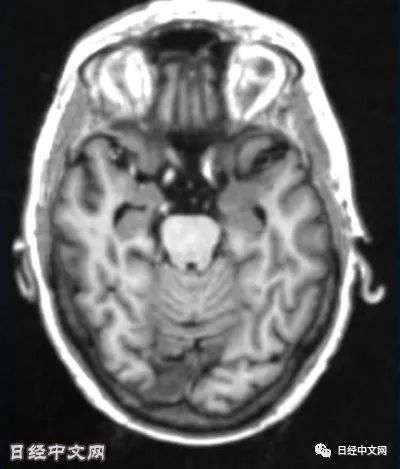
运用AI分析三维脑部核磁共振图像
富士胶片将在制药企业的临床试验中运用AI技术,选定会发展为阿尔茨海默症、非常需要用药的患者。还打算将来获得日本厚生劳动省批准之后,使用AI来帮助诊断这种疾病。
富士胶片利用与阿尔茨海默症相关的共同研究数据库开发出了AI。2020年夏季,通过AI分析了239名拥有轻度认知障碍症状的患者的数据。据悉,由AI预测这些患者会在2年后发展为阿尔茨海默症,还是保持轻度认知障碍状态。与实际病情进行对照后,准确率达到了85%。
据世界卫生组织(WHO)预测,以阿尔茨海默症为中心的痴呆症患者在2015年约有5000万人。随着老龄化加剧,到2050年将增加到1.52亿人。因此出现了加紧开发药物的动向。















