为了拯救失忆,研究人员在人类大脑里放入了一个电极......
作为最复杂的结构之一,人类大脑一直是科学家们研究的重点。昨天,我们刚介绍了斯坦福的研究人员想通过电刺激来抑制冲动。现在,又有一位埃默里大学的博士后想通过电刺激来拯救失忆,下面就是他的故事。
科里·英曼(Cory Inman)在美国北乔治亚山区参加童军营(一种针对青少年的社会性活动)时留下了十分美好的回忆。作为一个训练有素的认知神经学家,他知道自己要感谢大脑里那个长得像杏仁的神经元簇,因为这是他能够对当时的经历保有强烈情感回忆的原因。
图片来源:Bona Kim/Emory University(下同)
之后,英曼在美国埃默里大学读了博士后。他开始思考一个问题:如果发生在过去的一个温暖而模糊的事件通过刺激杏仁核就能形成并加强记忆,那么对于那些存在认知缺陷的人来说,通过在他们的大脑中植入电极以刺激该部位会不会起到同样的效果?
为了找到答案,英曼和他的同事们找来了14名癫痫病患者,并在他们的大脑中放入电极来监测该病症的发作。
研究人员让每位患者坐在电脑屏幕前,给他们展示日常物品的图像:西芹梗、剪贴板、溜冰鞋、蝴蝶、万能钥匙、望远镜、篮球、公园长椅等,一共160张。
之后参与者被分成三组:在看到图片三秒钟后,他们会立即、随机或是等一段时间后接受一秒的低振幅电刺激。该刺激以8个短脉冲的形式传送,频率为50赫兹,电流为0.5毫安。
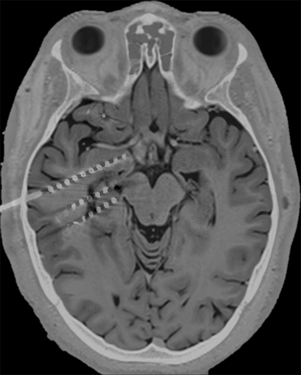
核磁共振和 CT 扫描结果显示,电极会刺激杏仁核(上)、海马体前部(中)和中部(下)
结果发现,这种方法使病人在一天后进行的记忆测试表现出了很大的不同。正如研究人员在美国国家科学院院刊中报告的那样,平均而言,参与者认出之前所看到的图像的可能性高出了10%。
该结果也证实了之前只在受试动物上的发现,即杏仁核在将短期记忆转化为长期记忆方面起着核心作用,即便在实验对象主观上没有想要这样做的情况下也是如此。
加利福尼亚大学欧文分校的记忆研究员詹姆斯·麦高夫说:“情绪激发不是关键,重要的是对杏仁核的激活成功了。这是目前第一个基于人类受试者的发现。”
值得注意的是,这种电刺激方法影响的是病人在第二天的记忆能力,而非短时记忆。比如实验中,有一个参与者隔天就会忘记前一天发生的事情。在没有任何干预的情况下,她只能回忆起24小时前所看到图像的5%。而通过电刺激,她对图像的记忆上升到了37%。
英曼表示,这可能是因为杏仁核在与海马体共同工作的过程中起到了更为中心的作用。“记忆巩固”的过程需要时间。当研究团队测量大脑中的电子信号时,他们发现,杏仁核与大脑其他记忆区域之间的相互作用在长期记忆的测试中表现得更为强烈。
图像记忆恢复测试,杏仁核(蓝)、海马(橙)和大脑皮质(品红)中的电信号在刺激的第二天看起来更同步。
加州大学的一个研究小组此前已经证明,对大脑内嗅皮质进行电刺激可以改善人们对空间信息的短时记忆(即在30秒到1小时之内进行记忆测试)。
但英曼研究的独特之处在于它拉长了记忆的时间尺度,通过刺激杏仁核能够增强人们24小时后的对特定事件或图像的记忆力。
目前,研究团队正在测试他们是否可以通过改变刺激杏仁核的方式来增加记忆持续的时间,甚至是形成永久记忆。如果成功,这种刺激疗法就能去帮助那些丧失了记忆力的人,比如老年痴呆症患者。
不过英曼也表示,目前还没有发明出非侵入性的刺激方法,但他希望未来能有新技术出现,为那些存在认知障碍的人群提供一条找回记忆的新途径。















