少了一块脑子,这重要吗?
2016年2月初,在读过一篇介绍几位麻省理工学院科学家研究大脑如何对音乐进行反应的文章后,一位女士立即给这些科学家发送了一封电子邮件。她在邮件中告诉科学家:“我有一个有趣的大脑。”
这位女士要求用姓名的首字母“EG”来称呼自己,以保护隐私。EG缺失了她的左侧颞叶,这部分脑组织被认为参与到语言加工中。然而,EG的情况并不十分符合这些科学家们正在研究的方向,因此他们将她推荐给了另一位在麻省理工学院研究语言的认知神经科学家叶韦利娜·费多伦科(Evelina Fedorenko)。这是一段富有成效的关系的开端。基于EG大脑的第一篇学术论文近期在《神经心理学》杂志上发表*,而费多伦科的科研团队希望可以发表更多的成果。
*译者注
Tuckute, Greta, et al. "Frontal language areas do not emerge in the absence of temporal language areas: A case study of an individual born without a left temporal lobe." Neuropsychologia 169 (2022): 108184.
EG现年五十多岁,成长于美国康乃狄克州。尽管她的大脑中缺失了一大块脑组织,但很惊人的是这并未对她的生活造成很大影响。她拥有一个硕士学位和令人印象深刻的职业生涯,还会讲一门第二外语俄语——流利地如同她所期待的一样。她第一次得知自己大脑中存在异常是在1987年的秋天,当时她为了其他原因去乔治华盛顿大学医院进行扫描才发现的情况。造成这一异常的原因可能是当她处在婴儿期的时候发生了中风;现如今,这一脑区中只剩下了脑脊液。在她发现这一情况的最初十年中,EG从未告诉除了她的父母和两个最亲密的朋友之外的任何人。她说,“这件事令我感到毛骨悚然。”自此以后,她告诉了更多的人,但了解到她的独特大脑解剖结构的人们仍仅限于一个非常小的圈子。
EG说,多年以来很多医生一再告诉她,她的大脑不符合常理。其中一个医生告诉EG,她本应该会有癫痫发作,或者她不应该有很好的词汇量——她说,“这个医生对我有良好的词汇表达而感到烦恼。”(作为在麻省理工学院的研究内容之一,对EG的测试结果表明她的词汇量水平超过人群中98%的人。)这些经历令人沮丧;正如EG所说,他们“惹毛了我”。“他们在没有丝毫研究的情况下,做出了如此多的宣告和结论。”
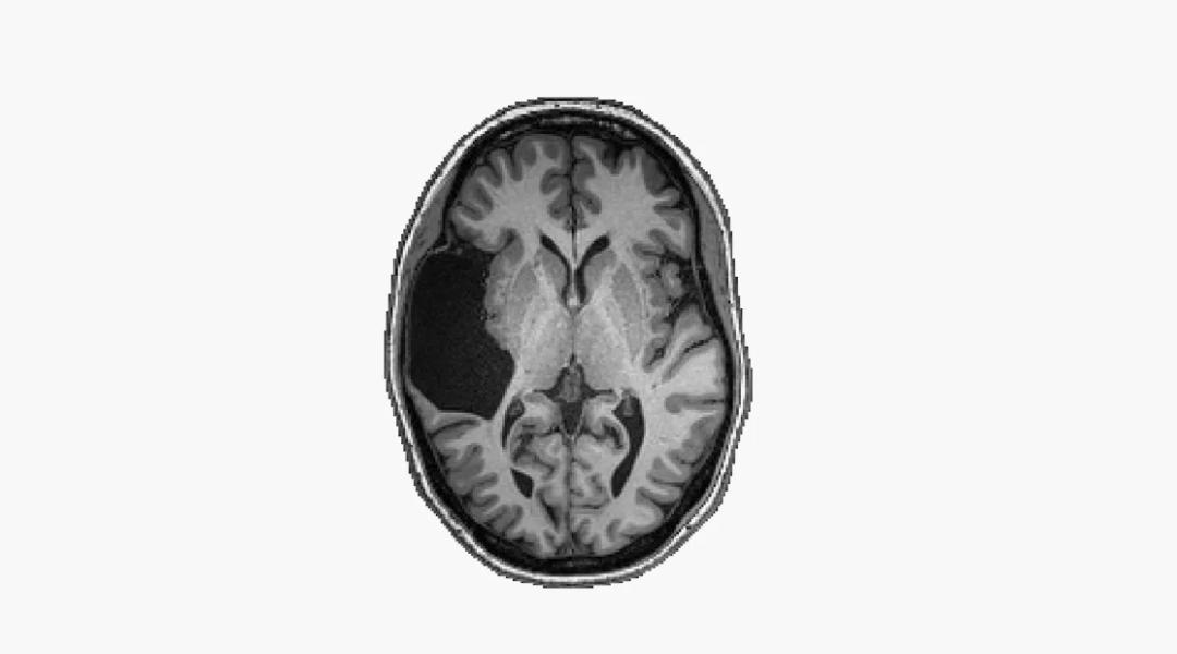
EG大脑的一幅核磁共振影像
EVELINA FEDORENKO, GRETA TUCKUTE/BRAIN AND COGNITIVE SCIENCES
直到EG遇到了费多伦科。“对于我应该或者不应该做到什么事情,她没有任何预先形成的观念。”EG回忆说。对于费多伦科而言,一个能够研究类似EG大脑的机会是每个科学家的梦想。EG非常愿意帮忙。
费多伦科的实验室正致力于弄清楚被认为在语言学习和理解中起到重要角色的不同脑区的发育过程。每个脑区的准确作用尚未得到阐明,而语言系统究竟是如何精确产生的是尤为棘手的研究问题。“对于语言系统如何产生这一问题我们知之甚少。”费多伦科说。因此想要回答这一问题,需要对1到3岁正处于语言能力产生过程中的儿童的大脑进行扫描。“但在那时我们还没有工具来探测儿童的大脑。”她说。
当EG出现在她的实验室时,费多伦科意识到这将会是一个绝佳的机会来了解EG剩余的脑组织是如何重组以完成认知任务。“这一个案就像一扇窗,通过它能够提出那类问题。”她说,“这就是有时你会得到一些你想利用的珍珠。”类似EG一样将自己提供出来让科学家们检测和研究是极为罕见的。
对于大多数人而言,语言加工的主要区域位于大脑的左侧半球。对于一些人而言,加工会平均的分布在左右两侧半球。在更稀有的情况下,右半球会承担绝大部分的任务。(科学家并不确定这一现象的成因,但如果你是左利手,那么似乎你“更有可能激活在你右侧半球的语言系统”,费多伦科实验室的博士生格蕾塔[Greta Tuckute]说道,她同时也是这篇文章的第一作者。)
- Björn Öberg -
语言的加工处理主要占据了大脑的两大重要部分:额叶脑区和颞叶脑区。首先发育的是颞叶脑区;之后额叶脑区会在大约5岁左右的时候发育。在这时语言网络被认为已经完全成熟了。由于EG的左侧颞叶缺失,费多伦科团队有机会来回答一个很有意思的问题:颞叶脑区是否是额叶脑区成熟的必要条件?
在研究EG的大脑的第一篇文章中,他们试图了解在她完好的左侧额叶中是否会表现出对语言的激活。如果她可以,那就意味着额叶语言区可以在同侧半球预先不存在颞叶的条件下出现。但如果她不能,那就意味着颞叶语言区是额叶语言区出现的必要条件。
研究者利用功能磁共振成像(functional magnetic resonance imaging,fMRI)技术对EG在执行特定的词语任务过程(例如阅读句子等)中的大脑活动进行捕捉。在她完成任务后,研究者寻找EG左侧额叶中的语言激活的证据。他们将EG与约90名典型神经对照被试相同位置的脑激活进行对比,这些典型神经对照被试拥有完好无损的左侧颞叶。最终,他们一无所获。因此他们得出结论,颞叶语言区的存在似乎对于额叶语言区的出现是必不可少的。
然而,他们要求EG执行一些数学任务,同时记录她的大脑反映,发现并确认EG的左侧额叶皮层能够完整地支持高级认知功能。他们认定在EG左侧额叶缺失时,对语言加工的任务似乎只是简单地转移到了她的右侧半球。单一半球似乎就已经能够使她拥有熟练的语言技能。
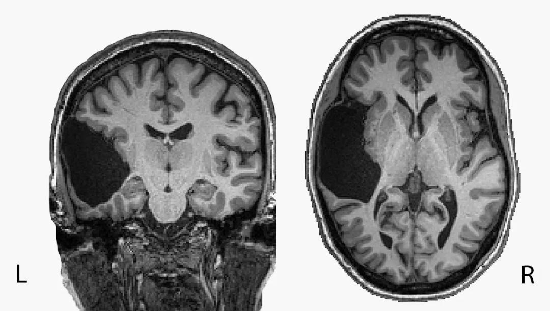
EG大脑的一幅核磁共振影像
EVELINA FEDORENKO, GRETA TUCKUTE/BRAIN AND COGNITIVE SCIENCES
EG独特的大脑对她日常生活产生如此微小的影响,这一现象表明,我们的一大块脑组织竟然可以如此完全地被牺牲掉。费多伦科指出一种被称为大脑半球切除术(hemispherectomy)的外科实践,它被用于患有癫痫且药物治疗无法起效的儿童。这项外科实践需要将癫痫发作的半个大脑去掉,而这些儿童已经表现出能够保持正常的认知能力。“如果你切除半个大脑后可以很好的工作,那么意味着在我们普通的大脑中有很多部分都是冗余的。”费多伦科说道,“很明显我们大脑中的很多东西都是完全冗余的,这从工程的角度来看是构建认知系统非常好的方式。”
事实上,如果大脑受损,它常常会找到一种方式来让自身重新连接。乔治城大学的一位认知神经科学家斯特里姆-阿米特(Striem-Amit)对这种现象知之甚多。她研究大脑如何在缺少特定感觉的情况下使自身重组,例如在先天失明或失聪的人群中。“对于这个病人(EG)以及其他类似地在出生时就缺少语言系统中的一大块组织的其他病人而言,可以在如此程度上得到补偿是一件令人惊叹的事情。”她说道。
具体来说,如果在儿童期出现了异常发育,这时的神经可塑性比较强,大脑的其他部分常常会补偿缺失部分负责的功能,形成新的可以承担该功能任务的神经连接。“在过去的数十年中,有大量的研究表明大脑在生命早期具有更强的可变通性。”斯特里姆-阿米特说。
从单个被试的观察中得出任何结论似乎都很仓促。近些年来,由于过少样本的小型研究可能会得到很偶然的结果,因此对于个体的研究得到了负面的评价。如今在研究中已经大范围地倾向于“更大的样本量获得更好的结果“这一宗旨*。但总的来说,个案研究为现代神经科学奠定了基础。一些著名的案例被认为首次证明了某些认知功能与特定的脑区存在关联:例如布洛卡(Broca)的病人,在1861年启迪了科学家大脑的哪些部分控制了言语产生**;病人H.M.,他的大脑揭示了记忆如何在人脑中组织的谜团***;还有可能是最为有名的病人菲尼亚斯·盖奇(Phineas Gage),一个在1848年被铁棒洞穿大脑的铁路工人,在受伤后他的人格发生了改变。“所有促进我们对大脑理解的核心发现都来自于个案研究。”斯特里姆-阿米特说道,“如果没有这些独一无二的个案,我们就很难搞清楚这么多我们已经了解的(脑功能)及其因果性。”
*译者注
*Callaway, Ewen. "Can brain scans reveal behaviour? Bombshell study says not yet." (2022): 777-778.
**Dronkers, Nina F., et al. "Paul Broca's historic cases: high resolution MR imaging of the brains of Leborgne and Lelong." Brain 130.5 (2007): 1432-1441.
***Squire, Larry R. "The legacy of patient HM for neuroscience." Neuron 61.1 (2009): 6-9.
- Björn Öberg -
费多伦科说,对个体的高质量数据进行探查与群组水平的脑图相比而言,就如同“使用一个高精度显微镜与近视裸眼相比较,在近视裸眼下你看到的所有东西都是模糊的。”费多伦科认为,只要小心谨慎地研究,一个样本为1的方法也能够提供开创性的启示,正如在EG的例子一样。“我们能够从一丁点差异的个案中学到巨大的信息。”她说,“如果不将自然界中的偶然性进行利用是一件很可惜的事。”
“研究独一无二的个案是非常重要的。”斯特里姆-阿米特也表示同意,“现在大数据是一种趋势,我们需要强调数据深度的重要性——即对个体进行非常细致的实验设计来进行研究以了解个体的大脑是如何组织的。”
着眼未来,费多伦科的实验室希望从EG的大脑中获取更多的信息。在一篇已于上个月发布在线上预印(目前还未被同行评审或发表于杂志中)的研究中*,她们探索了一个被称为视觉词形区(visual word form area)的脑区,该脑区被认为负责解码词语的书面形式。在神经典型人群中,该区域被发现位于左侧颞叶皮层的腹侧。但对于EG来说,这一功能的分布遍及她整个大脑,因此她是一个“非常优秀且迅速的阅读者”,费多伦科表示。未来的一项研究中,她们也将探索EG缺失的颞叶会如何影响她的听觉系统。
*译者注
Li, Jin, Evelina Fedorenko, and Zeynep M. Saygin. "Intact reading ability in spite of a spatially distributed visual word form'area'in an individual born without the left superior temporal lobe." bioRxiv (2021).
令人吃惊的是,EG的妹妹缺失了她的右侧颞叶,并且在很大程度上并没有受到影响。这表明对于早期儿童的中风似乎存在一些遗传因素可能解释大脑缺失的区域,费多伦科说。接下来,团队想要利用EG和她的妹妹(已经自愿参与研究)一起来尝试了解社会与情绪加工如何在右侧半球占据主导地位。实际上,她们整个家族都将参与进来。EG的另一位兄弟姐妹和她父亲的大脑也已经被扫描,尽管结果表明他们都各自拥有两个完整的颞叶——或者可以称为“无聊枯燥的大脑”,EG开玩笑道。在不久的将来,EG的第四位兄弟姐妹也将被扫描。对于EG而言,在很长的一段时间以来从未有人想要研究她,因此她很高兴神经科学领域能够从她的大脑中获取一些东西。她说道:“我也希望这可以使得一些具有异常大脑的人们不再被污名化。”
作者:Grace Browne|翻译:新宇
校对:Qiumsky| 编辑:山鸡
封面:Björn Öberg |排版:Lynn
原文:
https://www.wired.co.uk/article/she-was-missing-a-chunk-of-her-brain-it-didnt-matter
本文来自微信公众号“神经现实”(ID:neureality),作者:Grace Browne,36氪经授权发布。















