到死都永远不会再快乐的脑病,偏被著名喜剧演员患上了

万物杂志·2022年03月31日 09:00
一生的诅咒

如果你逐渐丧失快乐,做什么都提不起兴趣,方向感和推理能力也越来越差,最后智力等同于三岁孩童,你能承受这样的痛苦吗?

相信所有人的答案都是否定的。但是这样恐怖的事却发生在了一位以带给众人快乐为职业的世界著名喜剧演员身上。更惨的是,他的病情的严重程度超过所有询诊医生的经验。

这位演员就是罗宾·威廉姆斯。你可能看过他的代表作品,比如《死亡诗社》、《心灵捕手》、《勇敢者的游戏》。威廉姆斯曾经获得过奥斯卡金像奖、金球奖等多种重量级奖项。

罗宾·威廉姆斯(右)出演讲述麻省理工学院“扫地僧”的电影《心灵捕手》,威廉斯因为该片获得奥斯卡最佳男配角奖。

2014年,罗宾·威廉姆斯自杀去世。他死后,美国前总统奥巴马发表申明称“罗宾·威廉姆斯绝无仅有,终其一生感动无数心灵”。当时许多人认为他罹患的是抑郁症,但在他死后多年,他的病因才经由尸检浮出水面。

2016年,他的遗孀苏珊·施耐德·威廉姆斯(Susan Schneider Williams) 在学术期刊《神经病学》(Neurology)上发文透露了他的真正死因。

2014年8月,苹果公司在主页上纪念威廉姆斯。

原来,威廉姆斯患上了一种让人无法再快乐的神经系统疾病,同时也是世界第二大失智症:路易氏体失智症(Dementia with Lewy bodies)。

许多人知道,阿尔兹海默症是常常困扰老年人的失智症,但第二大失智症路易氏体失智症却鲜为人知。英国纽卡斯尔大学精神医学教授 Ian McKeith 称,在老年人中路易氏体失智症是第二大常见的失智症,仅次于阿尔兹海默症,占所有失智症的10-15%。仅在美国就有150万名路易氏体失智症患者(美国人口约3亿)。

图片来源:pixabay

和阿尔兹海默症一样,路易氏体失智症也相当致命。但和尔兹海默症患者的无知无觉不同的是,后者能清楚地意识到自己的大脑逐渐走向毁灭。

路易氏体是在1912年被发现的。发现者德裔美国神经科学家弗德里克·路易(Frederic Lewy)在研究帕金森氏症患者的大脑时意外找到了奇怪的蛋白质团块,这种蛋白质团块被称为路易氏体,它们是由蛋白质α-突触核蛋白(α-synuclein)构成的。

路易氏体失智症患者神经元中的路易氏体。图片来源:wikipedia

α-突触核蛋白参与细胞 DNA 的修复工作,原本是个正面角色。但由于尚未明朗的机制,在路易氏体失智症患者脑中,它们会在神经元中异常聚集。而当路易氏体占据了神经元的太多空间时,神经元就无法执行原本的工作,此时患者的大脑就开始滑向不可逆的深渊。

路易氏体失智症早期常常没有任何特殊症状,用来筛查阿尔兹海默症的常见工具《简易精神状态检查》(The Mini Mental Status Exam)对早期路易氏体失智症也是无效的。初期的表现可能仅仅是注意力不容易集中,晚上容易醒来。

图片来源:pix4free

遗孀回忆,威廉姆斯的问题就是从2013年莫名其妙的失眠开始的。

但是渐渐的,患者会对任何事物失去兴趣,因为路易氏体“攻击”的一大对象就是大脑中的多巴胺能神经元。

多巴胺能神经元能释放多巴胺,并以多巴胺作为神经递质。众所周知,多巴胺和大脑的情绪和奖励系统有密切联系。上瘾,比如刷手机上瘾、打游戏上瘾就是多巴胺的作用。

图片来源:pxfuel

当然了,作为一种令人感到刺激和快乐的神经递质,没了多巴胺,大脑感到的是无趣、无意义和不快乐,这就是路易氏体失智症剥夺幸福感的原理。

后来的验尸报告显示,威廉姆斯大脑失去了40%的多巴胺能神经元。从各种意义上来说,威廉姆斯的病情在路易氏体失智症患者中也很罕见。

遗孀苏珊在接受美国广播公司(ABC)采访时说,威廉姆斯确实有抑郁症,但抑郁症只是路易氏体失智症的四十多个临床症状之一,而且是其中相对微不足道的。这是因为,人的高级认知能力和运动系统也和多巴胺密切相关。

多巴胺能神经元逐渐丧失会引发许多神经系统疾病,比如帕金森症,而患者的空间感知和视觉能力也会下降。

比如,威廉姆斯就常常搞不清楚门的位置。有一次,苏珊发现他全身僵硬,头撞在了门柱上,血流如注。他的嗅觉也开始变得不灵敏,手臂也开始微微颤抖。他的失眠和健忘也变得愈发频繁。

到了终末期,失智的情况就肉眼可见了,因为此时路易氏体会遍布全脑。在这个阶段,路易氏体失智症的典型症状和阿尔兹海默症类似,降智不可避免:记忆衰退、推理和判断能力下降、注意力和警觉性降低。

医生们事后告诉苏珊,一些患有路易氏体失智症的高智商患者初期的病程看起来进展缓慢,但是在某一时刻会像洪水决堤般一泻千里。这样的状况就发生在了威廉姆斯身上。

2014年初,威廉姆斯在拍摄《博物馆奇妙夜3》的时候出现了精神崩溃,因为在拍摄这部电影的时候,他有时连一句台词都记不住。而在短短三年前在百老汇演出《巴格达动物园的孟加拉虎》的时候,他一天可以准确无误地说出上百句台词。

威廉姆斯在《博物馆奇妙夜》系列中饰演狄奥多·罗斯福。

记忆力的快速退化对威廉姆斯来说无疑是个重大打击,而他也知道自己正在失智,这造成了双倍的痛苦。遗孀回忆,那段时间他总是说:“我就想重启我的脑子”。

然而威廉姆斯至死都不知道自己究竟患上了什么疾病。他做了各种检查,医生检查了他的脑垂体和心脏,但没有发现任何问题。似乎除了过高的应激激素——皮质醇以外,他的身体没有任何异常。家人们认为威廉姆斯过虑了。但事实上,只有他自己知道风雨欲来。

图片来源:wikimedia

在5月,他被确诊为帕金森氏症。但是威廉姆斯并不相信自己患的是这种病。最终在2014年8月,他选择用自己仅存的意志亲手结束这场必败的战斗。

尸检显示,威廉姆斯几乎整个大脑都被路易氏体侵占了。苏珊在文章中写道:“(威廉姆斯)整个大脑和脑干里都没有不含路易氏体的神经元了。”根据验尸报告,威廉姆斯正是死于路易氏体失智症。

遗孀咨询的四位医生均认为,他是他们见过的最严重的路易氏体失智症患者。

其中一个医生说:“这就好像他身体的每个器官都患上了癌症。”另一个医生则表示,威廉姆斯死去时,大脑的认知能力相当于一个三岁孩童。医生们也惊叹,威廉姆斯居然能支撑这么久,他们认为以他的神经元状态都不太可能走路了。

图片来源:pixabay

唯一能让苏珊感到宽慰的是,尸检报告让这些年来威廉姆斯的各种不对劲得到了解释。苏珊指出,路易氏体失智症有四十多个症状,威廉姆斯一一全中,唯一没有表现出来的就是幻觉。当然,这也有可能是他的精心遮掩。可是这样严重的病情,为何当初没人能做出准确的诊断呢?

实际上,路易氏体失智症的误诊率非常高。

路易体痴呆症协会(Lewy Body Dementia Association)称,因为路易氏体失智症和帕金森氏症的症状极为相似,因此“误诊情况相当普遍”。

帕金森氏症的典型症状。图片来源:见水印

路易体痴呆症协会进一步无奈地说明,由于症状类似,路易氏体失智症和帕金森氏症的诊断体现出了“随意性”,一般来说,如果患者在出现失智症状前先出现身体震颤,那么就会被诊断为帕金森氏症,反之则是路易氏体失智症。

阿尔茨海默氏学会(the Alzheimer's Society)则指出,在英国路易氏体失智症只占所有失智症的4%,但是由于误诊的普遍性,实际数值可达10%-15%。

作为制定了路易氏体失智症诊断指南的路易氏体失智症协会(Consortium on Dementia with Lewy Bodies)的创立者,McKeith 解释道,路易氏体失智症难于诊断的一大原因在于脑皮质里的路易氏体很难被发现。

就在20年前,连大脑扫描技术也无法区分路易氏体失智症和帕金森氏症,只有尸检能从病理学上进行准确的判断,但这也是90年代以后的事了,因为那时才出现能让路易氏体无所遁形的免疫组织化学染色法。

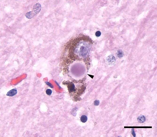
中脑黑质神经元中的路易氏体(黑色箭头所指)。图片来源:wikipedia

因为这些原因,到了1995年才有了第一部路易氏体失智症的国际临床和病理学诊断标准。现在也出现了一些区分阿尔兹海默症和路易氏体失智症的脑扫描技术,比如脑多巴胺转运蛋白SPECT显像技术,这让患者生前确诊成为可能。

可是即便威廉姆斯当初确诊,医生们也毫无办法,因为路易氏体失智症就在7年前无药可医。根据路易体痴呆症协会,现在全世界只有日本和菲律宾批准了一种有望治疗路易氏体失智症的药物:多奈哌齐(Aricept)。之前多奈哌齐一般是被用作治疗阿尔兹海默症的。

在亲身经历了路易体痴呆症给至亲带来的炼狱后,苏珊并不想让他人也体会自己的痛苦。在多年陪伴丈夫走访各个医院和研究机构的过程中,她也成了半个专家。后来她了解到美国大脑基金会(American Brain Foundation)的存在,并且成为其董事会成员,致力于让更多人认识和研究这个无声的病魔。

图片来源:《心灵捕手》

在谈到抑郁症时威廉姆斯曾说:“悲伤的目的是让你变成一个不一样的人,所以人们管悲伤叫佛的礼物。悲伤让你意识到世界上重要的是他人,而不是自己。”看起来,感同身受的苏珊已把亡夫的理念付诸实践了。

他能让所有人大笑,除了他自己。

参考资料

https://docs.qq.com/doc/DVEVWTEt1WUtDS3Fa

本文来自微信公众号 “把科学带回家”(ID:steamforkids),作者:七君,36氪经授权发布。

+1
25

好文章,需要你的鼓励

参与评论
评论千万条,友善第一条
后参与讨论
提交评论0/1000
36氪APP让一部分人先看到未来
36氪
鲸准
氪空间

推送和解读前沿、有料的科技创投资讯

一级市场金融信息和系统服务提供商

聚焦全球优秀创业者,项目融资率接近97%,领跑行业