AI遇上强迫症,大脑与情绪的羁绊有解了
年关将近,很多人已经走在了各种规划和整理的路上。无论是年货物品的置办,还是家里的深度打扫,都已经提上了日程。
对于悠闲散漫的人来说,找阿姨提前三天来打扫也可。要是家里没有聚会的可能,有的人可能什么也不会做,保持原样。而习惯计划的人就开始拿上本本各种盘了,更加极端的强迫症“患者”,可能已经精确到每天应该干什么的程度。身边要是有这种强迫症患者的话,可能会对这种情况深有体会。
我们经常开玩笑的强迫症,其实有一些是比较完美主义、喜欢较真的盆友。但在这其中,也会有被强迫症深度影响生活工作的可能。这类人会对自己的强迫症行为有心理负担,想要摆脱但又无可奈何,没法控制自己的行为与思想,焦虑常伴左右。
我们可能了解过到的严重强迫症常用的治疗方式,就是心理干预与药物治疗。心理干预与药物治疗是惯常的方式,但对于一些强迫症患者来说,这类治疗方式并没有什么作用。这类人群开始向深部脑刺激的治疗方式投去目光。深部脑刺激可以起到非常好的疗效,超过一半的强迫症患者症状明显改善,生活质量显著提高。不过对于部分强迫症患者的症状疗效治疗效果也不太理想,但是其焦虑、抑郁等伴随症状均明显改善。
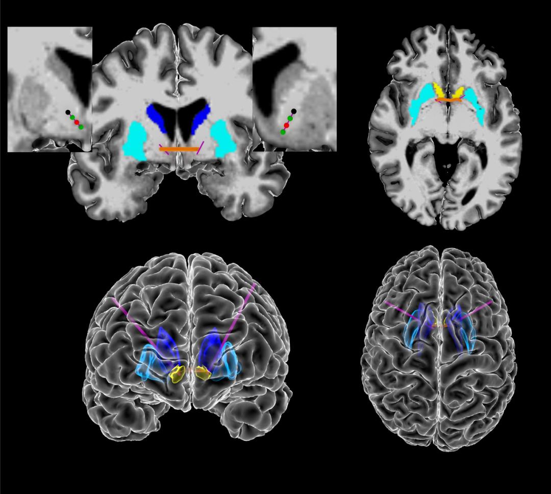
深部脑刺激的方式对于一些心理疾病的治疗具有不错的反馈效果,但是在治疗的过程中,深部脑刺激的频率与强度都是跟医生的经验相关,这也意味着这类治疗手段,对于医生的水平以及经验要求较高,具有较大的升级空间。近日,一项有关用AI的研究分析首次识别出了大脑中强迫症相关的脑电波信号,为强迫症的诊断和针对性治疗带来新的增益。
AI捕获强迫症脑电信号
对于强迫症患者来说,深部脑刺激的频率与强度跟医生的经验水平挂钩,疾病的治疗管理非结构化,管理比较复杂,精准刺激深部脑电部位,识别患者强迫症的发作时机成为机器干预的关键环节。
运用AI技术识别大脑中强迫症相关的脑电波信号,针对这一信号调整深度脑刺激强度,为强迫症的针对性与精准治疗打开了新窗。
这个研究团队来自美国布朗大学脑科学研究所,David A. Borton 教授带领的研究团队通过对 5 名重度强迫症患者进行长期脑电监测,经过长期的收集研究与观察,利用人工智能对患者生活中的强迫行为进行分析,评估患者各种微妙的情绪变化,并与脑电波活动相匹配。除了脑电波信号,研究人员还收集了一套强迫症患者行为的生物标志物,包括面部表情和身体运动。通过人工智能,他们发现这些行为和特征与大脑内部信号变化密切相关。
并且,研究人员也用试验证明了,当患者出现这些强迫症状,依据AI给出的深部脑刺激位置,可以显著地改善患者的强迫症状。研究人员也在不断地精进深部脑刺激的系统,向自动化刺激的方向前行。
什么意思呢?就是在患者出现强迫症信号的时候,系统可自动捕捉并及时利用深部脑刺激进行针对性缓解,依据患者症状强度,自动调节刺激强度。目前研究人员计划进一步招募更多患者进行试验,以捕捉更多的强迫症脑电信号标志,丰富自动化深部脑刺激系统的功能。目前研究人员正在开发自动化深部脑刺激系统。
在生命科学领域,我们看到AI技术越来越多的融入在疾病诊断治疗的各个阶段。在一些人力有限的领域,技术可以放大探索的深度与广域,为健康与生命打开更多的生长空间。在微妙的精神健康领域,AI也在将触角伸向更远方。
生命的预警与挽歌
我们知道,现下的高压生活,从学生到成人,存在很大比例的精神健康失衡。根据2019年卫健委数据,我国抑郁症患病率达到2.1%,焦虑障碍的患病率是4.98%,抑郁症和焦虑症患病率达7%。从周围人的精神健康程度来看,真实的数据应该会比研究的数据比例还要严重。
精神健康类疾病,尤其是抑郁症的高患病率和高自杀率会给个人和家庭带来严重的负面影响,因此及早识别抑郁倾向信号,提供专业帮助是十分必要的。
对于社交网络中暴露出的倾向与后续的干预,荷兰阿姆斯特丹自由大学人工智能系教授黄智生开启了“树洞计划”。“树洞机器人”会每天监控特定社交网络中的信息数据,对社交网络上的数据信息进行汇总智能分析,并对自杀的可能性、风险性进行判断,对于存在自杀计划或行为的人群每日重点关注,并生成报告进行每日通报。
国内也有个类似的项目——心理地图PsyMap。通过网络爬虫整合疑似抑郁症患者留言信息后,再通过AI对留言进行分析筛查。最后由志愿者对有自杀意向的人进行心理危机干预,在他们走向终结之前挽救生命。
这类干预方式通过采用知识图谱技术作为后台支撑,能够实现逻辑推理和逻辑判别,可以进行24小时全时段监控,自动计算自杀风险,然后实时发布监控通报,对于重点人群的关注与倾斜干预具有积极的意义,专业的心理咨询师可以在关键的时刻挽回生命。
当然,除了社交网络较为明显的语义抑郁倾向,也有通过面部表情特征的变化来区分是否有抑郁倾向。有研究分析显示,这类面部检测的准确率在78%,在音调方面,抑郁症患者的语速也会有一些明显的特征,比如速较慢、停顿间隔较长、语调平缓、气息较明显。
运用这类可以辨别抑郁患者的AI辅助工具诊断,可以提高医生的工作效率,也能够及早发现抑郁症,为积极干预提供了可能性。 不过AI技术在诊疗精神疾病的过程中,也存在一些争议的声音。
冷AI与热情绪:患者会买账吗?
我们知道AI技术具有强大的图像识别、信息处理与分析的功能。在精神疾病的诊断与治疗中都能够发挥出一些人力所不能及的作用,但是对于患者来说,用冷冰冰的机器治疗心理疾病,心理也会存在各种感受,能不能完全接受机器干预心理也有各种答案。
我们看到的许多关于AI在精神健康层面的助益都是从医师与机构的角度出发,对于患者来说,到底是有哪些效果与感受,处于一个比较灰色的地带,被模糊的处理带过。
无论是多么像人类的机器,能够模仿心理治疗师的话术与情感,但终究是机器。对于需要共情与情感支持的患者来说,如果不知道背后的“心理师”是机器的话,还能接受;如果知道是机器的话,多少都会有一些质疑与尴尬。
有患者就曾表示过这种怀疑的心态,认为缺乏情感的AI用来治疗比较情绪化的心理疾病,细腻的情感颗粒度差得太远。并且让AI机器治疗人类病,AI是永远无法学会、无法感同身受的情绪领域,这让患者心理上多少有些抗拒,也难以让人信服。
当然,AI治疗心理疾病在患者认知层面会有一些难以名状与调和的难度,在伦理层面,AI的应用也存在潜在的风险,让大众难以接受。比如存储和共享精神卫生数据的伦理,以及其学习系统的自主性和隐私水平等。这些都使得AI在精神健康领域的升级进化过程中,存在障碍。
精神健康是人类疾病中比较特殊的存在,对于这类疾病很多人因为社会环境的压力,会有一些病耻感,当患者敞开心胸,鼓起勇气走进医院和专业机构进行诊疗,面对的是机器,对于患者来说,也是会造成心理波动的不安因素。
对于AI在精神健康领域的讨论,仍然需要谨慎与细分。如果类似深脑刺激类技术,这类对疾病的治疗领域,机器的介入对于患者来说是完全没有任何心理障碍的,因为是补齐医生技术水平的AI,但对于深度讨论与分析的类型,用AI的技术去介入,就得在流程上进行细分。如果明确需要AI技术的介入,透明的诊疗会让患者的心理接受度更加友好。
AI技术在精神心理健康领域的应用,推进了心理健康疾病的精准识别和治疗,不过,它也并不能完全替代专业医生和心理咨询师。站在患者的角度上,可以视为辅助医生的工具,协助医生进行诊断,提供支持和干预。对于一些流程的顾虑甚至是心理的障碍与波动,需要的话还是要与医生积极交流,如果治疗的过程中再增加一些负担,就得不偿失了。
无论是哪个阶段的诊断与治疗,AI技术都在积极参与与发挥效用。当然,技术的定位永远都是辅助的存在,在精神健康领域,作为应用的主体与受体来说,双方对疗效的感受都是最重要的。情绪和思维认知的改善,是衡量的标准,也是永远唯一的标准。
本文来自微信公众号 “脑极体”(ID:unity007),36氪经授权发布。















