年轻人的体检指南 02:个性化筛查
编者按:本文来自少数派,作者:刀客特Leslie,36氪经授权发布。
本文为「体检指南」系列第二篇。正文约 16000 字。文章较长,你可以优先阅读第一节与总结,文章主体内容根据自身及家人情况进行重点选读。在体检前后,建议仔细阅读本文全文,可将本文作为体检报告的辅助解读工具。祝大家身体健康。
在第一篇里我们说了一下健康的年轻人体检要做哪些基本项目,哪些项目没必要多花钱,作者对体检机构的个人选择,以及体检前后要注意些什么。
如果你来自一个身体倍儿棒的家族,自己的生活方式也非常健康,那么上一篇也许就足够了。
但假如我们有一些贪嘴、一些小嗜好,也有一些家族史的话,这一篇就是让大家在选择体检项目时能把钱花在刀刃上的必读物。
如何确定个性化筛查的重点
个性化筛查主要是要针对自己的既往史和家族史来制定,每个人的情况不一样,这次是真的要对号入座了。
根据「健康体检基本项目专家共识」,「健康体检自测问卷」也是体检的必备项目,用以评估体检者的病史特点,面对哪些疾病的风险,但这个建议基本只停留在纸上,即使体检者有填写,检查项目如何安排大多是套餐里的一篮子检查,最终体检中心出具的报告也不太会提供真正的解读,甚至报告与填写内容并不一致也是有的。
因此,我在这里将自测的大概内容介绍一下,希望大家根据问卷内容进行自我评估,有针对性地增加一般项目以外的检查。也可以去可靠的公立医院、互联网健康咨询平台上进行付费咨询,让医生根据问卷结果帮助来访者选择个性化的项目。
问卷内容主要包括 6 个维度的 85 个具体条目。主体内容包括:
- 健康史:家族史、现病史、过敏史、用药史、手术史、月经生育史等,重点强调了对主要慢性病家族遗传信息的询问,如早发心血管病家庭史(男性 55 岁、女性 65 岁以前)等。
- 躯体症状:对主要慢性病风险人群进行的症状与体征的系统询问,包括循环、呼吸、消化、内分泌、神经、泌尿、妇科系统疾病以及视听功能等。
- 生活方式和环境健康:包括饮食、吸烟、饮酒、运动锻炼、环境健康风险等。
- 心理健康与精神压力:该部分内容包括情绪、精神压力、焦虑抑郁状态等,主要用于筛查精神心理问题,评估精神压力。
- 睡眠健康:包括睡眠时间、睡眠质量、睡眠障碍及其影响因素等内容。
- 健康素养:包括健康理念、健康意识、健康知识和健康技能等内容。
根据流行病学数据,目前引起我国人口死亡的主要疾病顺位排前三的分别是恶性肿瘤(158.06/10 万)、心脏病(150.08/10 万)和脑血管病(147.04/10万)。
下面我就针对发病率前十的恶性肿瘤及常见的慢性病进行介绍。
注:文中提到的一级亲属指的是父母、子女及兄弟姐妹,二级亲属指父母的兄弟姐妹、祖/外祖父母。
常见恶性肿瘤的筛查
建议搭配 2020 年上海市抗癌协会发布的「居民常见恶性肿瘤筛查和预防推荐」食用(这个推荐里涵盖了 20 种常见恶性肿瘤,文档链接会放在评论区),受篇幅影响,我先介绍发病率最高的 10 种,感兴趣的小伙伴可以自行下载阅读,希望我做更多解读的话也欢迎评论区告诉我。
我当然不会照搬推荐的内容,癌症筛查部分相比于「筛查和预防推荐」内容更加详实。我为派派读者提供了十种常见癌症的发病率、预后、危险因素、体检筛查指标、发现异常怎么办等信息。
基于各省肿瘤登记处上报的 2015 年恶性肿瘤登记数据,我国发病率前十的癌症是:肺癌、胃癌、结直肠癌、肝癌、乳腺癌、食管癌、甲状腺癌、子宫颈癌、脑瘤、胰腺癌。其中发病年龄较早的恶性肿瘤是甲状腺癌、乳腺癌和女性的子宫颈癌。
从左到右:甲状腺癌、乳腺癌、子宫颈癌
有相关肿瘤家族史的小伙伴要仔细看看,没有家族史当然最好了,但也建议浏览一下各种癌症的高危人群有什么特征,比如胃癌和幽门螺杆菌之类,大家了解之后可以做到防患于未然。
肺癌
依据流调数据,我国 2015 年新发肺癌病例约为 78.7 万例,肺癌的发病率为 57.26/10 万,以深圳为例计算可得,每年有 7169 人被发现患有肺癌,除以 365 就是每天有接近 20 人被确诊。基于庞大的发病人数,不管是在农村还是城市,对男性还是女性,肺癌引起的死亡人口也是高居癌症榜首的。
指南建议肺癌的高危对象接受低剂量 CT 筛查,高危对象指的是 40 岁以上,有以下至少一项危险因素:
- 吸烟 ≥ 20 年包*, 其中包括戒烟时间不足 15 年;
- 被动吸烟;
- 有职业暴露史(石棉、铍、铀、氡等接触者);
- 有恶性肿瘤病史或肺癌家族史;
- 有慢性阻塞性肺疾病或弥漫性肺纤维化病史。
*年包,指每天吸烟多少包乘以持续多少年,例如 20 年包指每天 1 包持续 20 年或每天 2 包持续 10 年。
最近两年我深切地感受到,体检或者入院后胸部 CT 发现肺部结节的人越发多了起来,来问我结节要不要紧的同学也有好几个。如果没有任何呼吸道的症状,只是单纯体检做 CT 发现了肺部有小结节,需要注意一下报告对结节大小和影像特点的描述,比如直径有多大,是单个还是多个,是实性结节还是磨玻璃结节。
如果是实性结节,直径4mm 以下的,如果没有上述肺癌的高危因素,则不需要随访,有危险因素的每年复查一次 CT;结节直径 6-8mm 者应在6-12 个月之间复查, 如未发生变化,则在 18-24 个月之间 再次随访,其后转为常规年度检查;结节直径≥ 8mm,建议去看胸外科门诊,这时候需要医生结合结节的其他特征进行恶性肿瘤的概率预测,有的可能需要做 PET-CT,有的可能需要手术活检明确。
如果是磨玻璃结节,则要更谨慎一点,因为所谓的磨玻璃影指的是结节密度不均匀,结节内有很多血管和气管的影像,而疯长是癌症的特点,「兵马未动,粮草先行」,疯长所需的营养依赖增生的血管提供。因此,如果是单个纯磨玻璃结节,<5mm 的话,建议 6 个月后复查胸部CT,随后行胸部 CT 年度随访;≥ 5mm 的话,建议 3 个月随访胸部 CT,如果没有变化的话随后可进行胸部 CT 年度随访;如果直径超过 10 mm,去看胸外科门诊,需非手术活检和(或)手术切除。
如果是混合的结节,单个直径 ≤ 8mm 者建议在 3、6、12 和 24 个月进行 CT 随访,无变化者随后转为常规年度复查;直径 >8 mm,还是去看呼吸科或者胸外科,是经验性抗感染治疗、穿刺活检还是手术,交给专科医生来判断。
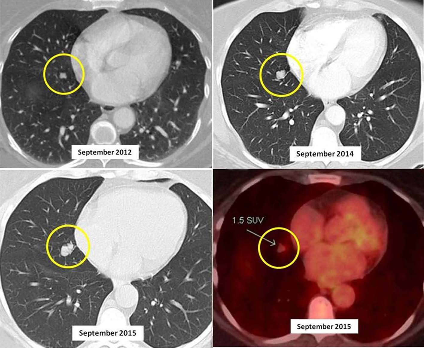
来源:Case Report: Do we really care about incidental lung nodules?
上图是典型的肺部结节在胸部 CT 随访中的进展。胸部 CT 扫描(2012 年)显示,右肺黄圈处有一个界限分明的小肺结节;随后的胸部 CT 扫描随访(2014、2015 年)显示右中叶肺结节明显逐渐增大;右下图是右中叶肺结节的 PET-CT 图像。
目前肿瘤指标检测还没有特异性地指向肺癌的,也就是说高了不一定提示是肺癌,有可能是感染或炎症而已;得了肺癌也不一定会高,但有可能会高。条件允许或者有家族史确实不放心的话,可以检测胃泌素释放肽前体(Pro-GRP)、神经特异性烯醇化酶(NSE)、癌胚抗原(CEA)、细胞角蛋白片段 19(CYFRA21-1)、鳞状细胞癌抗原(SCC),只是要知道检测的意义,如果只是某项轻微高于正常值上限,也没有发现肺部结节,倒也不用太过担惊受怕,过段时间复查看看即可。
胃癌
在慢慢腾腾写稿的过程中,我们熟悉的香港金牌绿叶演员廖启智也去世了,原因正是胃癌,从发病到不幸离开人世只有不到 4 个月。我国是全球胃癌发病率最高的国家,发病率为 29.31/10 万人口,按年龄标化后的 5 年存活率仅为 27.4%,也就是说确诊胃癌后只有约 1/5 的人能活到 5 年。早期筛查是非常重要的,主要通过胃镜进行。
胃癌高风险人群为年龄 ≥ 40 岁且符合下列任意 1 条者:
- 胃癌高发地区人群。 我国辽东半岛、山东半岛、长江三角洲、太行山脉和河西走廊等地是胃癌高发区,按省级行政区划说的话,辽宁、福建、甘肃、山东、江苏等地是胃癌高发的省份。胃癌高发和这些地区长期高盐、腌制食品摄入多等饮食习惯脱不开干系,所以日韩也是胃癌高发的国家。
- 幽门螺杆菌感染者。
- 既往患有慢性萎缩性胃炎、胃溃疡、胃息肉、手术后残胃、肥厚性胃炎、恶性贫血等胃癌前疾病。
- 胃癌病人的一级亲属。
- 存在胃癌其他风险因素(如摄入高盐、腌制饮食、吸烟、重度饮酒等)
幽门螺杆菌(Hp)咱们拎出来单独说一下。
我国目前幽门螺杆菌感染率高达 40%-60%,并且这种细菌可以人传人,主要经口传播。碗筷清洗如不够彻底很可能残留幽门螺杆菌,增加感染几率;亲吻、共用亲密的生活用品也会传播。因此,点菜、火锅这种形式的聚餐如果没有使用公筷,一旦有人是感染的 50%,你就有被传染上的可能。而刺激性食物容易刺激胃粘膜,增加幽门螺旋杆菌的入侵的概率。所以,一人阳性,全家检测,如有需要,一起根除,不然有很大的可能还会交叉感染回来的。😹
检测的方式主要包括胃镜时夹取胃粘膜涂片镜检、呼气试验(13C、14C)、血清学检测(抗体)和粪便抗原检测,其中呼气试验是最常用的,准确性较高并且不受菌群灶性分布的影响,还是比较方便又可靠的。
需要提醒的是,这些检测结果会受其他因素的干扰,有可能会出现假阴性,比如服用了抗生素、抑酸药等可能会抑制细菌生长的药物,或者有胃黏膜严重萎缩的时候,局部夹取、呼气试验都可能是阴性的。只有检测血液中的抗体不受影响,但抗体检测只能反映近期有过感染,并不能直接反映是否存在现症感染(但话说回来,不加以规范的根除治疗,这些顽固的细菌也不会自己乖乖离开,所以阳性还是很有意义的)。因此在检测前最好停用抗生素和抑酸药,最好也不要吃清热解毒的中(成)药或者生吃大蒜,如果检测是阴性的话还可以做一个抗体检测交叉验证一下。根除治疗后也要复查,以确保真的根除了。
Hp 感染的后果,来源:https://www.facebook.com/pg/Helicobacter-Pylori-H-Pylori-1425787414353825/posts/
上图中显示了幽门螺杆菌感染后的 4 种可能结局在胃镜下是什么样的:80% 以上的人会有无症状性或慢性胃炎,15%-20% 可能患慢性萎缩性胃炎或是胃十二指肠溃疡,不到 1% 的人会得肿瘤。
有幽门螺杆菌感染不一定会得胃癌,感染患者中约 15%-20% 发生消化性溃疡,5-10% 发生幽门螺杆菌相关性消化不良,1% 发生胃恶性肿瘤。多数感染者并无症状或并发症,但所有感染者都存在慢性活动性胃炎,而这正是肠型胃癌发生模式中的第一步。
因此目前的共识是:幽门螺杆菌感染是胃癌最重要的、最可控的危险因素,根除治疗可有效预防胃癌。
大肠癌
大肠指的是结肠和直肠。结直肠癌一直是全球和我国发病率前三的恶性肿瘤,并且发病率随年龄的增长而迅速增加。在 50 岁前,每增加 5 岁,发病率大约增加一倍;55 岁以上,每增加 5 岁,发病率大约增加 30%。并且,早期发现局部肿瘤患者的 5 年生存率高达 90%,而晚期患者的 5 年生存率只有 14%,意思是早发现早治疗 9/10 的人能活 5 年以上,一旦发现时是晚期了,只有 1/7 的人能活 5 年。这巨大的差异可能只需要简简单单的粪便隐血试验一项就可以产生,体检时加这一项可以说是杠杆率最高的检查了。
对于没有大肠癌家族史的人来说,没有任何排便异常症状、固定位置腹痛的话,在 45 岁以后每年体检做一次粪便隐血试验、每 10 年做 1 次肠镜检查,直到 75 岁,76~85 岁时,如果身体还是倍儿棒、感觉再在人间潇洒十年都没问题的话,可继续维持筛查。但是由于这项检查既简单又便宜,而且 45 岁也并不是大肠癌无法突破的结界,因此我还是推荐每个人体检的时候都注意有无这一项,没有的可以主动要求添加,补上差价即可。
大肠癌的高危因素包括:
- 40 岁以上有两周肛肠症状(大便习惯改变如便秘、腹泻等); 大便形状改变(大便变细);大便性质改变(便血、黏液便等);腹部固定部位疼痛的人群
- 长期患有溃疡性结肠炎的患者;
- 大肠癌手术后的人群;
- 大肠腺瘤治疗后的人群;
- 有大肠癌家族史的直系亲属;
- 诊断为家族性腺瘤性息肉病(FAP)和遗传性非息肉病性结直肠癌 (HNPCC)(即遗传性大肠癌)的直系亲属,年龄超过 20 岁。
对于符合以上几点前 4 点的高危人群,和 45 岁以上的要求一样。对于有直系亲属 60 岁以下就患大肠癌的或不幸不止一位直系亲属确诊的,建议从 40 岁开始(或比家族最小发病者发病年龄小 10 岁开始)筛查,每年 1 次粪便隐血检查,每 5 年 1 次肠镜检查;如果亲属是 60 岁以上发病的,则每 10 年 1 次肠镜。对于直系亲属患有遗传性大肠癌的,建议患者完善基因突变检测,明确突变后再给未发病的亲属进行基因检测,若突变阳性,则从 20 岁起,每 1-2 年进行肠镜检查。
肝癌
肝癌最近一次上热搜大概是因为达叔吧,我们喜爱的二当家的、重案组之虎,从确诊肝癌到离世只有短短 3 个月,比廖叔的病程进展还快,我第一次看到消息就是达叔进了重症监护室。再往前是用歌声送给每个人希望的小红花的音乐人赵英俊,才 43 岁,实在是令人唏嘘。
来源:https://images.app.goo.gl/7LvNnrncGPqqskta6
上图中展示了从肝损害到肝硬化到肝癌的三部曲,乙肝感染、肥胖、2 型糖尿病、脂肪肝、不良饮食、酒精、衰老等因素会引起肝损伤,长期暴露在这些危险因素中会增加肝硬化可能,并最终引起肝癌。
我国是肝癌大国,人群肝癌的发病率为 17.7/10 万。并且肝癌的病死率较高,虽然发病率是第四,致死率却是第二,尽管诊疗技术在近 20 年不断进步,但年龄标化后的患者总体 5 年净生存率仅从 11.7%(2000-2004) 提高到 10 年后的 14.1%,也就是说不管发现得早还是晚,只有 1/7 的人能活到确诊后的第六年。因此,从高危因素入手,早期预防、早期筛查就显得格外重要。
肝癌高危人群至少具有以下一个特征,年龄超过 40 岁的男性风险更大。
- 具有乙型肝炎病毒(HBV)和(或)丙型肝炎病毒(HCV)感染
- 过度饮酒(定义参见高血压危害篇)
- 非酒精性脂肪性肝炎
- 长期食用被黄曲霉毒素污染的食物
- 各种其他原因引起的肝硬化,例如血吸虫、原发性胆汁性肝硬化等
- 有肝癌家族史
- 自身免疫性肝炎及药物性肝损患者
筛查建议主要针对高危人群,以血清甲胎蛋白(AFP)这一肿瘤指标和肝脏 B 超联合进行为主。
AFP 是胚胎肝细胞、肝细胞癌或某些异常肝细胞产生的癌胚蛋白,在正常成人血清中的含量不到 20 ng/ml,肝细胞发生癌变时会恢复产生这一蛋白的功能,而且含量随着病情恶化会急剧增加,因此 AFP 是肝癌诊断最重要的指标之一。
当 AFP≥400μg/L 时,需怀疑肝脏病变,排除慢性或活动肝炎、肝硬化、睾丸或卵巢胚胎源性肿瘤以及怀孕等可能后,如 AFP 持续进行性升高,需高度怀疑肝癌。AFP 轻度升高者,应作动态观察,并与肝功能变化对比分析,有助于诊断。
但也有 30% 的肝癌患者 AFP 并不高。这就是几乎所有抽血化验的肿瘤标记物的特点:阳性不代表一定有,阴性不代表一定没有。
90%的肝癌病因都比较明确,包括肝硬化、乙肝或丙肝病毒感染、酒精、非酒精性脂肪肝病和糖尿病等,以及致癌物的长期暴露,如黄曲霉毒素和马兜铃酸等,肝癌家族史则可显著增加病毒感染人群的肝癌发病风险。
因此,预防主要针对以上病因,没有乙肝病毒的建议接种乙肝疫苗;慢性肝炎患者应尽早接受抗病毒治疗以控制肝炎病毒的复制;戒酒或减少饮酒;清淡饮食,减少油腻食物摄入;不吃发霉的食物、出芽的薯类等。
身边的医生同事在体检时纷纷被查出来脂肪肝(男性为主),还人均高血脂。如果早期控制饮食、加强运动的话,这种轻度的脂肪肝是可逆的,个人体会是几个月的 HIIT 运动 + 合理膳食就可以做到。千万不要觉得是轻度的就不管,上面刚说了非酒精性脂肪肝病也是肝癌的病因之一,不要等到为时晚矣才追悔莫及。
食管癌
我国为食管癌高发国家,2018 年流行病学数据显示,我国食管癌发病率为 13.9/10 万人,死亡率为 12.7/10 万人,在恶性肿瘤中分别居第 5 位 和第 4 位。和胃癌类似,食管癌也是早期治疗 5 年生存率很高,而中晚期食管癌 5 年生存率不足 20%。由于食管癌早期没什么典型的症状,一旦出现典型的进行性吞咽困难时往往已经是中晚期了,因此,定期体检筛查的重要性尤为突出。
来源:https://www.mayoclinic.org/ ; https://step1.medbullets.com/oncology/110037/esophageal-cancer
上图为食管的解剖位置及典型的食管癌胃镜下图像。右图为胃镜下见右侧隆起的菜花样癌肿,伴有表面出血。
符合以下任意一项危险因素的就属于高风险人群,需要从 40 岁开始通过胃镜来筛查食管癌,而没有危险因素的属于一般风险人群,建议从 55 岁开始接受筛查,截止至 74 岁。推荐高危人群每 5 年做一次内镜(上海的推荐建议每 2 年做一次)。
- 长期居住于食管癌高发区,主要位于山西三省交界的太行山南侧,尤以磁县为著,在秦岭、大别山、 川北、闽、粤、苏北、新疆等地也有相对集中的高发区。
- 一级亲属有食管癌病史。
- 既往有食管病变史(食管上皮内瘤变)。
- 本人有癌症史。
- 长期吸烟史。
- 长期饮酒史(≥ 15g/d)。
- 有不良饮食习惯如进食快、热烫饮食、高盐饮食、进食腌菜者。
如果胃镜检查发现食管有轻度异型增生,建议每年 1 次内镜检查,如果是中度的异型增生,则建议每隔半年就做 1 次。目前还没有什么抽血或呼气标记物能早期检测食管癌的。
胰腺癌
我国每年有 9.5 万例胰腺癌新发病例,位列我国恶性肿瘤发病率的第 10 位,但由于胰腺癌的预后非常差,5 年生存率仅为 7.2% ~ 9%,又同属于消化系统,所以我把消化系肿瘤放一起说。
胰腺癌之所以被称为是癌症之王是多方面的,首先,胰腺癌的恶性程度高;其次由于胰腺血管、淋巴管丰富,而胰腺本身包膜又不完整,转移比较早;并且胰腺癌早期又没有特异性的症状,很难早发现;同时,由于胰腺位于后腹膜,周围毗邻的脏器和血管都很多,和胃肠、肝胆的关系复杂,功能又十分活跃,手术要切除很多脏器,切完了还得吻合到一块,难度很大,术后恢复要求还很高。
基于胰腺癌的这些特性,很有可能在发现病灶的时候就已经是癌症中晚期了,即使还有做手术的可能性,但手术的难度也会降低术后存活率。不仅如此,胰腺癌的细胞对放疗和化疗都不敏感,使得医生对付它们的手段捉襟见肘。
胰腺癌发生的确切原因和机制尚不完全清楚,目前认为主要是不良生活方式、遗传易感性等多因素相互作用的过程。
非遗传相关因素包括:
- 不良生活方式因素,吸烟、肥胖、酗酒、三高饮食等。吸烟者较非吸烟者胰腺癌死亡危险增加 1.6-3.1 倍,吸烟量的多少与胰腺癌的发病呈正相关。
- 良性疾病,如慢性胰腺炎、糖尿病、消化道良性疾病手术史等。
遗传相关因素包括家族性胰腺癌、遗传性乳腺癌、遗传性胰腺炎、黑斑息肉综合征及家族性非典型多发黑痣、 黑色素瘤综合征等。
40 岁以上,特别是 50 岁以上,伴有下述任意 1 项因素者属于高危人群:
- 有胰腺癌家族史、糖尿病史;
- 有长期吸烟、饮酒、高脂肪和高蛋白饮食史;
- 无明显诱因的中上腹饱胀不适、腹痛,出现食欲不振、乏力、腹泻、消瘦或腰背部酸痛等症状;
- 慢性胰腺炎反复发作,尤其合并胰管结石的慢性胰腺炎;主胰管型黏液 乳头状瘤、黏液性囊性腺瘤,实性假乳头状瘤患者,有血清 CA19-9 升高;
- 无家族遗传史的新近突发糖尿病;
这里附一张来自指南的胰腺癌高危人群筛查量表,给各项危险因素打分,总评分 ≥40 分即为胰腺癌高危人群。高危人群根据评分高低,还可以分为低风险人群(40~70)分、中风险人群(71~99 分)和高风险人群(≥100 分)。
建议筛查的频率为:低风险人群每年 1 次,中风险人群每 6 个月 1 次, 高风险人群每 3 个月 1 次。筛查内容包括肿瘤标志物 CA19-9、CA125、 CEA 等,结合腹部 CT、MRI 进行筛查,B 超也能提供相应的帮助。
乳腺癌
乳腺癌是我国女性恶性肿瘤发病谱第一的癌症,相比于其他肿瘤,女性的乳腺癌和妇科肿瘤有可能会因为涉及到女性隐私部位而影响女性体检筛查的意愿,尤其在农村或相对保守地区,考虑到乳腺癌的危险因素还是挺多挺常见的,我自己也是女性,因此还希望读者们自己了解后多向家人传达,毕竟除了大圣,每个人都有女性的家人。
目前已经明确的乳腺癌危险因素包括良性乳腺疾病、子宫内膜异位症、高内源性雌激素水平、初潮较早或绝经较晚、未经产与初次妊娠的年龄较高、流产、乳腺癌家族史、肥胖、不良生活方式(吸烟和饮酒)、乳腺癌易感基因(BRCA)突变以及暴露于治疗性电离辐射。而乳腺癌的保护性因素包括:母乳喂养和体育锻炼。
因此指南提出,乳腺癌的高风险人群指符合以下任一描述者:
- 具有遗传家族史,即具备以下任意一项者
- 一级亲属有乳腺癌或卵巢癌史;
- 二级亲属中有 ≥ 2 人在 50 岁前患乳腺癌 ;
- 二级亲属中有 ≥ 2 人在 50 岁前患卵巢癌;
- 至少 1 位一级亲属携带已知 BRCA1/2 基因致病性遗传突变;或自身携带 BRCA1/2 基因致病性遗传突变。
- 本人具有以下经历:
- 月经初潮年龄 ≤ 12 岁;
- 绝经年龄 ≥ 55 岁;
- 有乳腺活检史或乳腺良性疾病手术史, 或病理证实的乳腺(小叶或导管)不典型增生病史;
- 使用「雌孕激素联合」的激素替代治疗≥6 个月;
- 45 岁后乳腺 X 线检查提示乳腺实质(或乳房密度)类型为不均匀致密性或致密性。
- 本人有以下孕产经历:
- 无哺乳史或哺乳时间<4个月;
- 无活产史(含从未生育、流产、死胎)或初次活产年龄≥ 30 岁;
- 仅使用「雌激素」的激素替代治疗≥ 6 个月;
- 流产(含自然流产和人工流产)≥2 次。
没有这些危险因素的人属于一般风险人群,推荐从 45 岁开始进行乳腺癌筛查,每 1-2 年进行一次,推荐单独使用乳腺 B 超,也可以做乳腺 X 线。如果属于致密型乳腺则推荐 B 超和 X 线联合筛查。
对高风险人群建议从 40 岁开始筛查,每年做一次乳腺 B 超和 X 线联合筛查。对于 BRCA 基因突变携带者,可以考虑做乳腺磁共振,但不作为首选推荐。
来源:中国女性乳腺癌筛查与早诊早治指南(2021,北京)
拿到乳腺 B 超或 X 线的报告后,可以仔细阅读一下超声描述和结论,对照一下结论有没有写BI-RADS 分级,这个评级是乳腺的影像学报告系统,根据分层可以进行癌症的风险预计,从而确定后续诊疗策略。公立医院的超声报告通常会给出分级,而民营体检机构则不一定会打。没有写的话大家可以看一下描述内容,对照有没有出现在表格上的特征。
*0 级:资料不足以给出结论,需要增加其他影像检查, 包括加压点片、加压放大、加拍其他体位,或行超声检查。
BI-RADS 评级是 1 级的话建议按照上面提的频率继续体检筛查即可;2 级建议 6 个月到 1 年复检;3 级则建议 3-6 个月复查一次。
如果是 4 级及以上建议直接挂号看甲乳外科,寻求专科医生的建议。
另外,单位体检或自己体检毕竟也就是 1-2 年做一次的频率,乳腺触诊自检更有助于早期发现乳腺癌,如果有与月经周期无关的乳房胀痛的话,也要注意。篇幅有限,本系列第三篇我再细说。
子宫颈癌
子宫颈癌在我国恶性肿瘤谱中发病率排第八,也是为数不多的平均发病年龄小于 50 岁的恶性肿瘤。目前已经明确的宫颈癌的致病因素就是高危型人乳头瘤病毒(hrHPV)持续感染,主要是 16 型和 18 型(还有其余 12 个型别)。但从 HPV 感染至罹患子宫颈癌之间有一段较长的时间,因此体检筛查对于在良性病变、癌前病变和病变早期进行识别和干预就显得格外重要。
来源:https://www.news-medical.net/health/HPV-and-Cervical-Cancer.aspx
上图中展示了子宫颈癌的病程进展,早期病变(I 期)局限在基底部,宫颈口可能看不出异常,随着癌细胞增殖,宫颈口出现异常表现,此时症状可能包括分泌物异常(混有少量血液),性生活时疼痛伴出血,经期延长、经量增多,非月经期出现流血等。
对每个女性来说,体检筛查都是必要的,因为HPV 感染是非常常见的,国外报道普通人群感染率约 10%,国内研究发现育龄女性的感染率约 22.5%(苏州),有性生活的 25-59 岁女性 HPV 阳性率为 16.6%(深圳),但国内的研究地区差异比较大,缺乏多中心大样本的数据。
上海市抗癌协会的预防推荐中提到的宫颈癌的高危人群有以下特征:
- 有多个性伴侣;
- 性生活过早;
- 人乳头瘤病毒(HPV)感染者;
- 免疫功能低下者;
- 有宫颈病变史者。
为什么有性行为是宫颈癌的危险因素呢?感染了 HPV 就意味着性生活混乱吗?其实不是的。
HPV 是一种广泛存在于我们生活环境中的病毒,并且生命力比较顽强,耐寒,在干燥环境中也可以存活较长时间,对酒精不敏感,高温(55-60 ℃)、强酸强碱的消毒剂、福尔马林或戊二醛可使其灭活。而女性阴道内正常菌群是乳酸杆菌占优势,所以生理酸碱度呈弱酸性(pH 4.0-4.5) ,在这样的酸性环境下 HPV 容易灭活,这是机体的一种免疫机制。而性行为是一种常见的可以改变阴道内生理环境的外界因素,其他的还有不恰当的清洁方式和不好的卫生习惯等,这些外界因素会破坏阴道局部的酸碱性、有的会损伤阴道黏膜,给 HPV 感染创造可乘之机。目前研究认为,50-70% 的人群一生至少感染过一种类型 HPV, 多数 HPV 感染在半年内可由机体自身免疫机制清除,高危 HPV 的清除则可长达 1-2 年,因此体检要查!体检要查!体检要查!
美国癌症协会(ACS)于 2020 年更新了普通风险人群的子宫颈癌筛查建议:25 岁开始子宫颈癌筛查,25~65 岁首选每 5 年 1 次主要 HPV 检测(强烈建议);若不能进行主要 HPV 检测,建议每 5 年 1 次联合检测(结合细胞学检查及 HPV 检测),或每 3 年做 1 次细胞学检查(可接受)。
来源:2020 年美国癌症协会(ACS)普通风险人群的子宫颈癌筛查建议
筛查主要通过细胞学检查(上一篇提到过)、主要的高风险类型 HPV 检测(检测细胞或粘液中的 HPV 病毒抗原、抗体或 DNA)或者二者联合检测进行。接种了 HPV 疫苗也需以同样的频率和形式进行筛查。根据筛查结果确定是否要进行后续的检查、确定筛查的频率。
- 联合筛查高风险类型 HPV 和宫颈细胞学检查均为阴性的话,建议每 5 年做一次联合筛查就行。
- 如果HPV 阳性、细胞学阴性的话,则建议 12 个月后再次联合筛查;或者谨慎一点的话,做一下 HPV16 和 18 的分型检测,如果这两型阳性,则建议做阴道镜检查,如果两型均为阴性则 12 个月后再联合筛查。如果 HPV 阳性并且细胞学检查提示为非典型鳞状细胞,那么建议直接做阴道镜检查。
- 如果HPV 为阴性,但细胞学检查提示为非典型鳞状细胞,那么建议每 3 年做 1 次联合筛查。
- 如果宫颈高度鳞状上皮内病变以及鳞状上皮细胞癌女性,无论 HPV 结果如何,都要直接行阴道镜检查。
阴道镜可以直接观察到宫颈口和宫颈管内的情况,如果发现有可疑的病变可以去组织活检通过病理来明确病变的性质,确定后续的治疗方案。
甲状腺癌
甲状腺癌是少数几种年轻人起出现发病高峰的恶性肿瘤,发病率位列我国恶性肿瘤的第 7 位,不过恶性程度相对较低,死亡率就排不进前十了,五年生存率基本超过 90%。新的重疾险的定义也因此将肿瘤分期为 I 期或更轻的甲状腺癌划分至轻症的赔付范围内。虽说如此,但经不住发病率高啊,而且随着体检的普及,甲状腺结节的检出率也越来越高,想想还是挺吓人的,我身边的好友同行也有不少。
国内研究发现体检检测出甲状腺结节的占全部受检者的 31.5% - 45.5%,着实很高,而甲状腺结节里约 5% 可能最终演变为恶性肿瘤。因此,年轻人体检还是很建议加做一个甲状腺 B 超,我们医院甲状腺及颈部淋巴结彩超只要 90 块,几杯奶茶的钱就可以帮你筛查癌症,尤其是对以下危险因素的高风险人群:
- 童年期有头颈部放射线照射史或放射线尘埃接触史;
- 由于其他疾病头颈部进行过放疗;
- 有分化型甲型、家族性多发性息肉病及某些甲状腺癌综合征 ( 如 Cowden 综合征、 Carney 综合征、Werner 综合征和 Gardner 综合征等 ) 的既往史或家族史;
- 降钙素高于正常范围。
除了 B 超之外,还可以做甲状腺的功能检测(抽血),一般有甲功三项、五项、八项、十项,一般人群做五项就够了。
一般人群建议颈部甲状腺查体在 20~29 岁每 2~3 年 1 次,30 岁以后每年 1 次, 颈部超声检查在 30 岁后建议每年都做 1 次(包括甲状腺、颈部、锁骨上)。有上述高危因素的高风险人群建议不管年龄,每年做一次颈部超声。女性在怀孕和哺乳期会经历剧烈的激素变化,因此也建议在孕前和哺乳期结束时都要做一下颈部 B 超。
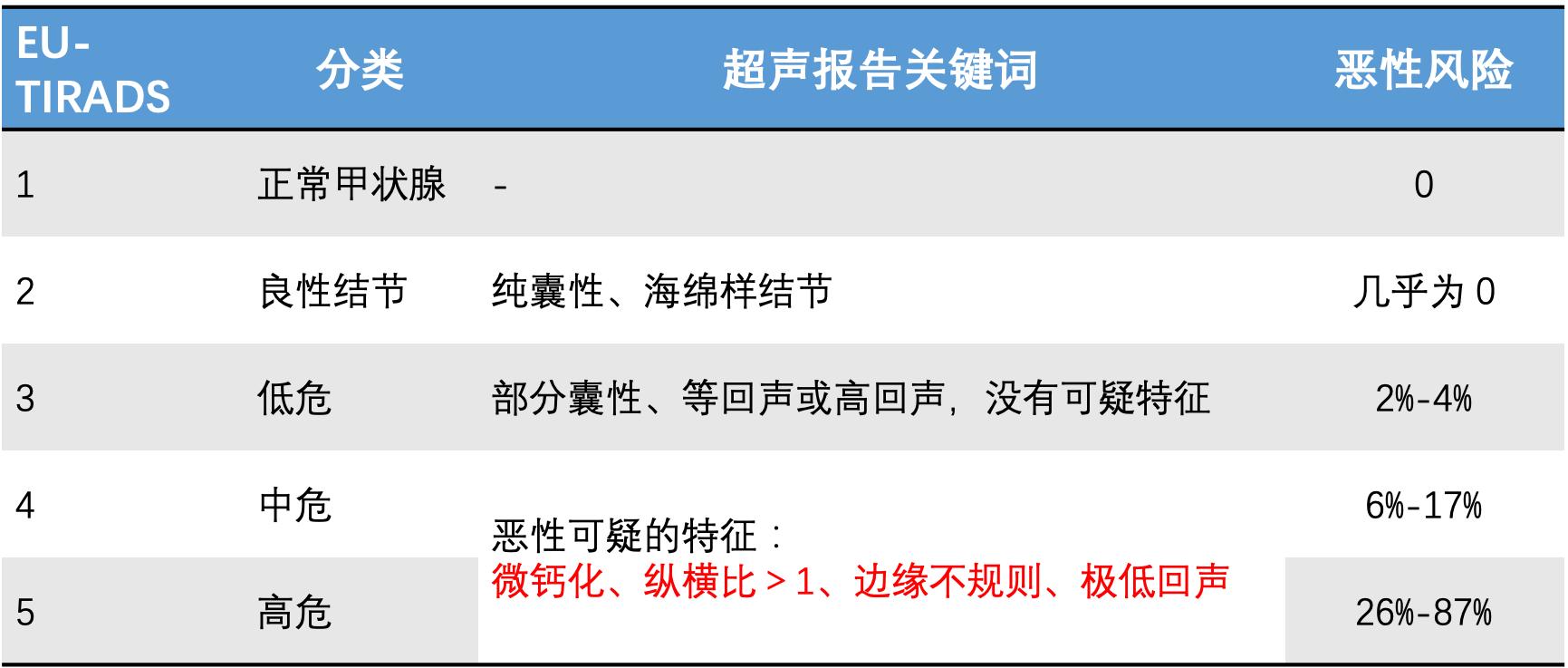
拿到超声报告之后大家要读读报告的描述,有的出具的报告会给出 TIRADS 评级,这个评级是美国学者提出的甲状腺报告系统,根据分层可以进行甲状腺癌的风险预计,从而确定后续诊疗策略——是需要细针穿刺获取细胞进行病理判断良恶性,还是只需要定期复查。
如果报告上只打了「甲状腺结节」,咱们也能对照超声的描述关键词,大概知道一下该不该去看医生。
除了上图描述的关键词外,大家还要关注一下结节的大小。
如果是良性结节一般无需进行细针穿刺,通常每隔 6~12 个月复查 B 超即可,但结节较大或有症状时还是建议去看甲状腺外科/内分泌科。
如果是 3 级以上,就建议去看专科门诊,让医生根据结节大小进行判断,给出建议,通常>1.5cm 的考虑行细针穿刺,但也要看医生对超声结果的解读,由于超声诊断比较依赖于检查者的经验,如果是在民营的体检中心检查出结节有可能会需要在医院重新做一次。
4 级 5 级就更不用说了,挂号看内分泌科或甲乳外科门诊!
脑瘤
前段时间「送你一朵小红花」上映给脑瘤吸引了一波关注,在我国的恶性肿瘤中,脑瘤发病率排第九,死亡率排第八。这是一类大帽子下面盖了很多种类的肿瘤,最常见的是胶质瘤、脑膜瘤、神经鞘瘤、垂体腺瘤和颅咽管瘤,分类分级比让人听不懂的名字还要复杂百倍。除了胶质瘤和少数不算常见的恶性肿瘤之外多数是良性的,但良性肿瘤易在颅内生长占据过大的体积,此时会压迫正常的脑组织,由于颅骨这要命的封闭结构,无论良恶性都可能会引起非常严重的后果。识别脑肿瘤主要靠磁共振,确诊依赖于获取组织做病理。
由于病因和发病机制并不明确,这类肿瘤复杂多样,下面涵盖了各种来源、许多病理分型,上海抗癌协会并未提出高危人群或特别直接的筛查建议,只告诉大家脑部肿瘤的十大早期信号——这些症状并没有特异性,不是说出现这些症状就意味着得了脑瘤,只是有了这样的症状建议去医院找专科医生挂号看病。
来源:2020 居民常见恶性肿瘤筛查和预防推荐
常见慢性病的筛查
回顾一下上一篇贴过的图,根据国家卫生服务调查分析报告,慢性病患病率最高的疾病排在前十的是高血压、糖尿病、椎间盘疾病、脑血管病、胃肠炎、缺血性心脏病、类风湿性关节炎、慢性阻塞性肺病、胆结石和胆囊炎、泌尿系结石,今天我们就细细说道一下。
高血压
参见前面写过的高血压科普,7000 余字,内容丰富,这里就不多说了。
糖尿病
(这里说的糖尿病主要指 2 型糖尿病,不含 1 型糖尿病、特殊类型糖尿病和妊娠期糖尿病)
我国2型糖尿病的患病率从 1980 年的 0.67% 飙升至 2013 年的 10.4%,男性和女性患病率分别为 11.1% 和 9.6%,也就是说全国十分之一的人口背负着糖尿病的负担。肥胖和超重人群的糖尿病患病率显著增加,BMI<25 kg/m² 者糖尿病患病率为 7.8%,25 kg/m²≤BMI<30 kg/m² 者患病率为 15.4%,BMI≥30 kg/m² 者患病率为 21.2%,大家读到这里可以先摸一摸良心——多久不敢上秤了,然后再摸摸你的肚子。
作为心内科医生,我的体会是糖尿病一种对心血管系统损害非常严重的病,出现病变的时候整个血管都有弥漫性的病变,得了冠心病的多支病变很常见,冠脉血管从上到下都是斑块,放支架都很难放,搭桥的效果也差,因为微血管也深受其害,微循环不好。并且只要有血管的地方都会出现病变——糖尿病视网膜病变、糖尿病肾病、下肢动脉栓塞、足坏疽(引起截肢)……因为糖尿病肾病最终进展为尿毒症的数不胜数。
城市化引起的生活方式改变加剧了这类代谢相关疾病的发生,年轻人面临的工作压力也是发病的重要刺激因素,因此,虽然 2 型糖尿病常在 40 岁以后起病,也并不意味着 40 岁以前就可以放飞自我——尤其对于超重、有家族史的小伙伴——建议 35 岁以上常规筛查糖尿病风险。
推荐「中国糖尿病风险评分表」用于筛查,根据年龄、腰围、BMI、高血糖症史、收缩压、糖尿病家族史来评估风险值,评分范围为 0-51 分,≥ 25 分者应进行正规的空腹血糖和糖负荷后 2h 血糖测定(即口服葡萄糖耐量试验,OGTT)。
除了表格中的危险因素外,研究还发现,碳水化合物的摄入量(每餐主食量 100 g 以上)是糖代谢异常的危险因素,而碳水为主的饮食结构也是我国糖尿病发病率高的一个重要原因。吸烟则可增加糖尿病患者截肢风险。
或者可以参考「中国糖尿病诊疗指南」中的糖尿病高危人群条件,对照是否符合下面任何一条:
- 年龄 ≥40 岁;
- 有糖尿病前期(IGT、IFG 或两者同时存在)史;
- 超重(BMI≥24 kg/m²)或肥胖(BMI≥28 kg/m²)和(或)中心型肥胖(男性腰围 ≥90 cm,女性腰围 ≥85 cm);
- 静坐的生活方式;
- 一级亲属中有 2 型糖尿病史;
- 有妊娠期糖尿病史的妇女;
- 高血压 [收缩压 ≥140 mmHg(1 mmHg=0.133 kPa)和(或)舒张压 ≥90 mmHg],或正在接受降压治疗;
- 血脂异常(高密度脂蛋白胆固醇低或甘油三酯升高)或正在接受调脂治疗;
- 动脉粥样硬化性心血管疾病(ASCVD)患者;
- 有一过性类固醇糖尿病病史者;
- 多囊卵巢综合征(PCOS)患者或伴有与胰岛素抵抗相关的临床状态(如黑棘皮征等);
- 长期接受抗精神病药物和(或)抗抑郁药物治疗和他汀类药物治疗的患者。
问卷评估高危或者属于上述高危人群的话,强烈建议体检的时候进行糖尿病筛查。
体检一般项目里生化检查中的空腹血糖、和尿常规里的尿糖可以为糖尿病筛查提供线索。
我国的糖尿病指南中推荐空腹血糖和OGTT 作为筛查的首选,2011 年 WHO 还推荐使用糖化血红蛋白 ≥ 6.5%来诊断糖尿病,因此条件允许的话也推荐体检加一项糖化血红蛋白(HbA1c),测定的是血液中与葡萄糖结合的血红蛋白占血红蛋白总数的百分比,依据红细胞 120 天的寿命,这个指标能反映过去 3 个月的血糖水平。
美国预防服务工作组推荐 40-70 岁的肥胖或超重者每隔 3 年做一次上述 3 种检查。如果发现空腹血糖>6.1 mmol/L,和/或 OGTT 2h 血糖>7.8 mmol/L,和/或 HbA1c>6.3%时,建议去内分泌科挂个号,这种情况就属于高血糖状态了,可能是空腹血糖受损,可能是糖耐量异常,也有可能是已经到了糖尿病阶段了。如果属于糖尿病高风险人群,那么强烈建议立刻开始调整自己的生活方式。
芬兰糖尿病干预组推荐个体化饮食和运动指导,每天至少进行 30 min 有氧运动和阻力锻炼,目标是体重减少 5%,脂肪摄入量 < 总热量的 30%,这项研究随访 7 年,使参与实验者总体糖尿病发生风险下降了 43%——管住嘴迈开腿真的是很有效的。
椎间盘疾病与骨关节炎
门诊体检人群的颈椎病检出率高达 64.52%(2002 年),腰椎间盘突出这种腰椎退行性疾病的患病率更高,上海高达 72.1%, 广州为 62.9%。国内小样本的调查发现大学教职工颈椎病的患病率为 10.8%,机关人员为 27.3%, 白领人群为 33.9%, 公务员为 54.8%。目前有研究认为颈椎病的发病是附着在颈椎上的颈部肌肉动力失衡为始动因素,引起颈椎稳定性下降,进一步导致颈椎结构(椎体、椎间盘、韧带)等静力平衡失衡,这既是身体的生理性保护调节,也是进一步发病的病理性致病因素。
颈椎病的定义是颈椎椎间盘退行性改变及其继发病理改变累及其周围组织结构(神经根、脊髓、椎动脉、交感神经等),出现相应的临床表现,如果没有临床表现则称为颈椎退行性改变。(由于涉及到解剖、症状、临床分型、影像学表现,要讲清楚还挺复杂的,有机会的话再稿一篇吧。)
生活中不正确的体态与姿势会促使颈椎病发生,例如躺在床上或沙发上看电视、以错误的姿势在电脑前工作、睡觉时枕头过高或过低或姿势不良等等,在我派有一个付费栏目「久坐的你,要保证正确的坐姿」,作者以过来人的身份详细地讲了这方面的内容,推荐大家去读一读。(PS:没有利益相关,我只是付费了的读者。)
体检中体格检查部分可以为颈椎病提供些线索,包括可以检测出神经根型颈椎病的压顶试验和臂丛牵拉试验,可以自己做的、检测椎动脉型颈椎病的旋颈试验等。这些查体体检医生不一定会做,有的也可以自己完成,在本系列的第三篇中我会介绍一些。
颈椎 X 光平片(正侧位)上面检查可以看到颈椎生理曲度的减少、消失、甚至是反弓,骨质增生、颈椎生理曲度异常、椎间狭窄及变形等,看不了肌肉、韧带等软组织,但胜在便宜快捷且提供的信息较多。如果有头肩颈疼痛并有压痛点、有颈部或上肢麻木疼痛、眩晕眼花耳鸣手麻等症状,别犹豫了,去医院吧。
来源:
上图中 a 为正常颈前凸;b 为颈前凸丧失;c 为颈驼背。
腰椎间盘突出症也是十分常见的,通常由于突出的椎间盘组织刺激或压迫神经根、马尾神经,引起腰痛、下肢放射痛、下肢麻木、下肢无力、大小便功能障碍等症状。X 线可以看到椎间盘突出的间接征象,例如椎间隙变窄、局部不稳等,但不能直接显示椎间盘。通常磁共振是首选的影像学检查。
颈椎病、腰椎间盘突出症都属于脊椎退行性疾病,同样属于退行性疾病的还有骨关节炎。虽然骨关节炎并不出现在上述表格中,而是类风湿性关节炎出镜,但在我国大陆地区类风关的发病率为 0.42%,而骨关节炎在 65 岁以上人群中患病率超过 50%,考虑到数据来自于卫生报告收集的被调查者的问卷,结合普通群众对于“类风湿性关节炎”的理解,我认为大家是把骨关节炎当成了类风湿性关节炎,不然 0.42% 的患病率实在难以跻身十大慢性病。
骨关节炎就不一样了,40 岁以上人群中,膝关节炎在男性中的患病率为 23.5%,女性为 32.8%。大家不要看到 40 岁、65 岁这样的年纪就觉得这个问题和年轻人无关,劳损、超重和肥胖是膝关节炎的公认发病因素,如果常年姿势错误或者是超重/肥胖不加干预,可能等不到 40 岁就要被关节痛缠上。
骨关节炎的症状主要有关节疼痛、肿胀和僵硬,疾病早期可以通过磁共振发现,进展到有典型表现的时候 X 线也能确诊,表现为关节间隙狭窄、软骨下骨硬化和(或)囊性变、关节边缘骨赘形成。
总而言之,这些脊椎或关节的退行性疾病患病率很高,老了可能谁都逃不掉,但是,若能做到从早期就注意姿势和体态,保持正常的体重和注意正确的运动姿势,合理膳食,就能最大程度地延迟发病的时机。
心脑血管病
脑血管病本质上也属于“血管病”,其中最常见的就是脑卒中,患病率高,通常与动脉粥样硬化或其危险因素有关,我就和同样多由动脉粥样硬化引起的缺血性心脏病一起唠了。
我国心血管病患病率目前处于持续上升阶段,推算心血管病现患人数 3.30 亿, 其中脑卒中(脑梗和脑出血) 1300 万, 冠心病 1100 万,脑卒中发病率为 246.8/10 万。这两大类疾病有一些相同的危险因素,包括年龄、性别、家族史、吸烟、过量饮酒、高血压、糖尿病、血脂异常、不良的生活方式等,卒中的危险因素还包括心房颤动、颈动脉粥样硬化斑块等,这些危险因素说实话已经被无数科普的人翻过来掉过去地说,我自己都说腻了。
大家可以参考本系列第一篇中的阜外医院国家心血管病中心提供的心血管病评估工具,在线填写后自行评估一下。
如果有多个动脉粥样硬化的高危因素,比如抽烟喝酒 + 三高,体检的时候该查什么呢?
首先是心电图,通常动脉粥样硬化斑块严重到累及心脏的供血血管——冠状动脉的时候,如果病变较为严重,引起心脏血液的供求关系失衡、出现供不应求时,可能就会出现心绞痛症状,反映在心电图的 ST 段上,有的报告也许会直接打「心肌缺血」,有的报告会委婉地说「ST-T 改变」,这时建议带着打印出心电图图形的体检报告,去心内科门诊挂个号,让专科医生评估一下这个 ST-T 改变到底要不要紧。
上图中 A:正常心电图 ST 段和 T 波的形态示意图;D:心肌缺血时 ST-T 改变出现 T 波倒置及 ST 段下移的示意图。(仅为示意图,不代表真实心肌缺血的心电图一定长这样)
如果出现了胸口活动后的胸闷胸痛,则需要完善更多检查。这个部分需要单独开一篇心脏篇来讲,我就先提这么多。
心电图报告上还有一个结论值得注意——心房颤动。心脏的收缩与舒张依靠窦房结司令部——心房——心室的顺序激动,心房颤动就是心脏电活动的冲动不由正常的司令部发出,而是心房内某个犄角旮旯自己就兴奋了,引起了心房的异常收缩舒张,正常窦房结的节律是 60-100 次/分钟,房颤则是 300-600 次/分,这时心房就处在乱颤抽筋的状态,带来的后果就是血液在心房内乱转形成湍流,非常容易聚集形成血栓,而一旦血栓形成随着心脏泵血进入大血管,在走到直径和栓子差不多的血管时就容易把管腔整个堵住,如果堵住了大脑的动脉,就是一次脑栓塞,轻则面瘫、重则死亡;如果堵住了肺动脉就是肺动脉栓塞——心内科三大致死急症之一,容易引起呼吸衰竭和猝死。
心房颤动患者脑卒中总体发生比例为 17.5%,我国心房颤动年龄校正后患病率为 0.74%,这个患病率是明显被低估的,因为调查时 34% 的人都是第一次发现心房颤动。房颤的发病率随年龄增长逐渐升高,但年轻人得了心肌炎之后也容易早发心房颤动(心肌炎的发病率约为 22 例/10 万人),一旦报告上打了房颤,不想年纪轻轻就中风的话,一律心内科就诊。
对抽烟喝酒 + 三高的人,除了体检基本项目和心电图外,我还建议加做颈动脉 B 超。颈动脉是体表超声能发现动脉粥样硬化的地方,也和卒中密切相关,管中得以窥豹,如果三高还不足以引起你的重视敦促你赶紧戒烟限酒、调整生活方式的话,希望颈动脉里的斑块能让你清醒一点。
经济条件很好也不怕麻烦的小伙伴还可以做一做下图中指南推荐的其他检测进一步评估。
慢性阻塞性肺疾病
慢性阻塞性肺疾病,名字有点拗口,其实很常见,很多中老年患者口中的“老慢支”,可能已经属于慢阻肺了。肺是人体进行气体交换的重要器官,顾名思义,这是一种长期慢性发展的、以气道阻力增加为特点的肺病,气道有炎症、小气道狭窄并管周纤维化等病理改变最终引起肺部气流受限、呼吸困难。2018 年的成人肺部健康研究调查结果显示,我国 20 岁及以上成人慢阻肺患病率为 8.6%,40 岁以上人群患病率高达 13.7%,慢阻肺是中国居民致死的第五大病因。
致病的危险因素和其他疾病一样,包括个体易感因素和环境因素。
- 个体易感因素包括遗传(α1-抗胰蛋白酶缺乏家族史)、年龄和性别,肺生长发育不良、支气管哮喘和气道高反应性、低体重指数。
- 环境因素包括烟草(包含主动和被动吸烟)、 燃料烟雾、空气污染、职业性粉尘、感染和慢性支气管炎。
高风险人群具有以下特征:
- 年龄 ≥ 35 岁。
- 吸烟或长期接触「二手烟」污染。
- 患有某些特定疾病,如支气管哮喘、过敏性鼻炎、慢性支气管炎、肺气肿等。
- 直系亲属中有慢阻肺史。
- 居住在空气污染严重地区,尤其是二氧化硫等有害气体污染的地区。
- 长期从事接触粉尘、有毒有害化学气体、重金属颗粒等工作。
- 在婴幼儿时期反复患下呼吸道感染。
- 居住在气候寒冷、潮湿地区以及使用燃煤、木柴取暖。
- 维生素 A 缺乏或者胎儿时期肺发育不良。
- 营养状况较差,体重指数较低。
由于我国吸烟人数众多,很多人已经有了慢性咳嗽的症状却把它当做是抽烟的日常,健康检查专家共识建议 50 岁以上、吸烟者 40 岁以上开始慢阻肺风险筛查。英国指南建议,对所有 35 岁及以上且有慢性咳嗽的当前或既往吸烟者进行肺功能测定,美国预防服务工作组(USPSTF)则不推荐对无症状的疑似慢阻肺人群进行筛查。
我那老烟民的父亲和爷爷都已经有肺大泡了。肺大泡就长下图这样,好好的肺变得跟个筛子似的。
来源:https://radiopaedia.org/articles/copd-summary
图上非支气管区的黑色空泡即肺大泡,如果张力过大或受外界应力影响可能会出现破裂,引起气胸,导致呼吸困难,严重时需要外科手术切除。
对本文读者来说可能最重要的就是,戒烟!戒烟!戒烟!不抽烟的也别吸二手烟!
胆结石和胆囊炎
慢性胆囊炎一般是由长期存在的胆囊结石所致的胆囊慢性炎症,或急性胆囊炎反复发作迁延而来,可能无症状,可能有右上腹的疼痛或不适,是普外科最常见的病之一。成人慢性胆囊炎患病率为 0.78%~3.91% , 胆囊结石患病率为 2.3%~6.5%。一项覆盖 24 个省市的针对体格检查人群的大型调查显示,20~29 岁人群胆囊结石患病率为 1.1% ,30~39 岁患病率为 2.6% ,40~49 岁患病率为 4.4%,并且随着饮食结构改变,超重和肥胖发生率增多,胆石症、胆囊炎的发病率也一直在走高。
我国胆囊结石主要的发病危险因素包括油腻饮食、肥胖、脂肪肝、糖尿病、高血压、高脂血症、缺乏运动、不吃早餐和胆囊结石家族史等。 可能的保护因素包括增加运动、高纤维饮食、多吃水果、多吃坚果、素食和饮咖啡等,但目前仍存有争议。腹部 B 超是发现胆囊炎和胆囊结石最常用也最有价值的方法,诊断准确率达 95%以上,灵敏度和特异度都很高。因此体检时可通过腹部 B 超(一般肝胆胰脾一起看)进行筛查。
来源:Gallstones and Associated Complications. Emergency Medicine Reports, June 15, 2016.
上图为胆囊结石、慢性胆囊炎急性发作的超声图像。图中黑色的部分是胆囊腔体,一颗一颗的圆形隆起就是的石头,图中还可以见到胆囊壁增厚以及周围有渗出。
体检如果发现了有胆囊炎和胆囊结石,建议挂个普外科看看,由外科医生判断是否有治疗的必要,治疗包括药物治疗和手术治。如果不关注不处理,有可能单纯的胆囊炎也会慢慢向其他并发症演变,包括急性发作后引起胆囊穿孔、胆源性胰腺炎、胆石性肠梗阻甚至胆囊癌。
泌尿系统结石与高尿酸血症
目前我国一般人群中泌尿系结石发病率为 1%~10%,肾结石是在肾脏内形成的由矿物质和酸性盐所组成的小的坚硬的矿物质沉积物,当尿液浓缩,矿物质结晶析出时就容易形成结石。按成分来分的话,结石通常可以分为含钙结石(草酸结石、磷酸钙/碳酸磷灰石、碳酸钙结石)及非含钙结石(胱氨酸、黄嘌呤、尿酸盐、磷酸镁铵、基质/纤维素结石),其中草酸盐结石最常见,占比 71%~84%。
结石的病因包括上述各种成分的代谢异常,尿路梗阻、感染和尿路存在异物,以及药物引起。
双肾、输尿管和膀胱的 B 超是发现泌尿系结石的首选,还可以结合腹部 X 线平片来帮助判断位置、形态大小和成分,因为有的成分的结石是可透过 X 线的(即 X 线成像看不见结石)。
一般结石直径 ≤4mm 的患者来说,有 80% 的可能可以自行排石,而当结石直径 ≥7mm 时,自行排石的可能性就比较低了,这时可能需要通过体外冲击波碎石或者外科手术取石,还是需要请泌尿外科的医生来看。如果体检 B 超报告上写了结石,记得看下描述的大小,再判断要不要挂个泌尿外科的号。
另外,高尿酸血症也是泌尿系结石的病因之一。
当含量超过其在血液或组织液中的饱和度后,尿酸可在组织局部形成尿酸钠晶体,沉积后诱发局部炎症反应和组织破坏,就是所谓的痛风。尿酸在肾脏沉积引发急性肾病、慢性间质性肾炎或肾结石,称之为尿酸性肾病。许多证据表明,高尿酸血症和痛风是慢性肾病、高血压、心脑血管疾病及糖尿病等疾病的独立危险因素,是过早死亡的独立预测因子。
因此,即使没有任何痛风症状或检查没有发现结石,当血尿酸水平 ≥540 μmol/L 时,或 ≥480 μmol/L 且有合并任一以下疾病:高血压、脂代谢异常、糖尿病、肥胖、 脑卒中、冠心病、心功能不全、尿酸性肾石病、肾功能损害(慢性肾功能不全 2 期),就建议服药降尿酸,无合并症的话血尿酸要控制在 420 μmol/L 以内, 有合并症时建议控制 <360 μmol/L。
另外,痛风是与生活方式密切相关的疾病,建议所有高尿酸血症与痛风患者保持健康的生活方式,控制体重、规律运动,限制酒精及高嘌呤、高果糖饮食的摄入,鼓励奶制品和新鲜蔬菜的摄入,适量饮水。
值得一提的是,很多人认为豆制品嘌呤含量高,但其实用不同的烹制方式制作的豆类成品其嘌呤含量差异很大,因此指南既不推荐也不限制豆制品的摄入,希望大家对照下表自行甄别。
数据来源:「中国食物成分表」标准版第 6 版
上图为常见食物(包括豆制品、菌类、畜牧肉类和鱼虾)的嘌呤含量,单位均为 100g 食物(可食用部分)含有的嘌呤含量(mg),每 100 克食物含嘌呤 150mg 以上的被认为属于高嘌呤食物。
写高血压的科普的时候我写过这么一段话:
希望这个心内科最常见的病也能得到大家的重视,并且了解它的危险因素有哪些,让认知成为改变的第一步,从而真正改变不良生活方式。
这篇体检指南也是一样,希望前两篇能给大家提供更多信息,了解自己和家人面对的健康风险,从认知的角度迈出改变的第一步。下一篇,我会从认知讲到动手,介绍最简单的健康自查,让大家离健康更近,离疾病更远!
附加题:
英语很好、有一定生物基础、想要拓展阅读的小伙伴可以去美国预防服务工作组的官网(The U.S. Preventive Services Task Force)看一下,不同的疾病筛查都有推荐,每个项目都有对应的推荐等级。A 级是推荐、确定有获益,B 级是推荐、很有可能有获益,C 级是视个人情况推荐、有可能获益不大,D 级是不推荐,I 级是证据不足以判断利弊。
总结一下
参考资料
- 2020 居民肿瘤筛查与预防推荐
- 健康体检重要异常结果管理专家共识
- 2015 年中国恶性肿瘤流行情况分析
- 2018-全球恶性肿瘤发病年龄分析
- 肺结节诊治中国专家共识(2018 年版)
- 中国幽门螺杆菌根除与胃癌防控的 专家共识意见(2019 年,上海)
- 中国早期胃癌筛查流程专家共识意见 (草案)(2017 年,上海)
- Colorectal cancer screening: Recommendations for physicians and patients from the U.S. Multi-Society Task Force on Colorectal Cancer
- 原发性肝癌的分层筛查与监测指南(2020 版)
- 中国早期食管鳞状细胞癌及癌前病变筛查与诊治共识(2015 年,北京)
- 中国早期食管癌及癌前病变筛查专家 共识意见(2019 年, 新乡)
- 中华医学会肿瘤学分会胰腺癌早诊早治专家共识
- 中国女性乳腺癌筛查标准(T/CPMA 014-2020)
- 中国女性乳腺癌筛查与早诊早治指南(2021,北京)
- 乳腺超声若干临床常见问题专家共识(2018 版)
- 2020年美国癌症协会普通风险人群的子宫颈癌筛查建议解读
- 基于人群的宫颈癌及癌前病变危险因素调查
- 中国子宫颈癌筛查及异常管理相关问题专家共识
- 2016~2018 年苏州市育龄妇女 HPV 感染因素分析
- 子宫颈癌等人乳头瘤病毒相关疾病免疫预防专家共识
- 健康体检人群甲状腺结节的检出率及影响因素研究
- 甲状腺结节和分化型甲状腺癌诊治指南
- 欧洲甲状腺协会成人甲状腺结节超声恶性危险分层指南临床应用价值
- 2017-中国≥15岁居民常见慢性病患病现状及其对生命质量影响
- 2013 年第五次国家卫生服务调查分析报告
- 健康体检和常见疾病的检验结果解读
- 不同糖尿病风险评分在体检人群中应用的 效果评价
- 中国 2 型糖尿病防治指南(2017 年版)
- 2019 中国 2 型糖尿病医学诊疗标准(英文版)
- 中国心血管健康与疾病报告 2019 概要
- 心房颤动基层诊疗指南(2019年)
- 中国卒中报告 2019(中文版)
- 颈椎病流行病学及发病机理研究进展
- CR 在颈椎病诊断中的价值分析
- 腰椎间盘突出症诊疗指南
- 脊柱与关节退行性疾病流行病学现状与诊疗发展
- 《骨关节炎诊疗指南(2018 年版)》膝关节骨关节炎部分的更新与解读
- 2018 中国类风湿关节炎诊疗指南
- 中国骨关节炎疼痛管理临床实践指南(2020 年版)
- 慢性阻塞性肺疾病诊治指南(2021 年修订版)
- 慢性阻塞性肺疾病基层诊疗指南(2018 年)















